概述
前牙开(牙合)表现为牙尖交错位时,上下前牙切端间无覆(牙合)关系,并垂直向前,与遗传因素等相关,需进行矫正治疗。
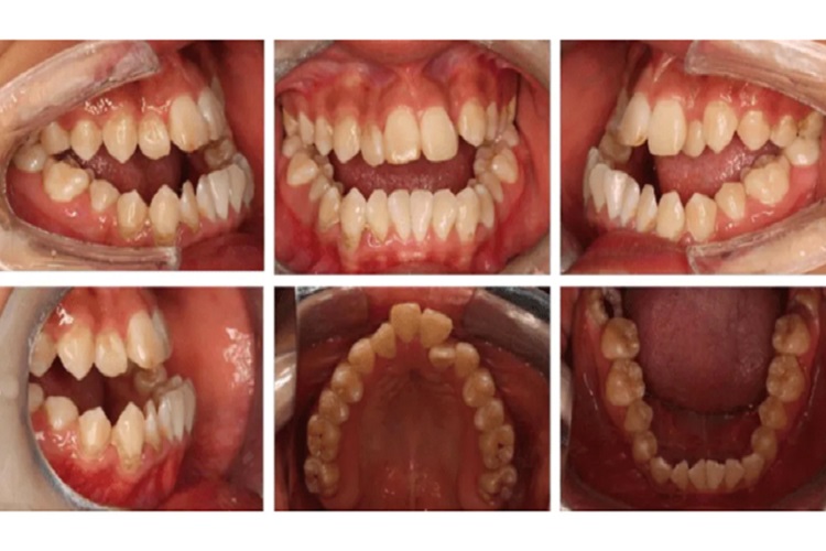
症状
前牙开(牙合)表现为牙尖交错位时,上下前牙切端间无覆(牙合)关系、垂直向呈现间隙。具体表现为上下牙弓及颌骨垂直向发育异常,前牙在垂直方向上不能够咬(牙合),上下颌牙在正中颌位及下颌功能运动时无(牙合)接触。后牙萌出过多,后牙槽发育过度,但前牙萌出过少,前牙槽发育不足。开(牙合)患者除高度、长度异常外,面部宽度显著减小,上下牙弓明显狭窄。

病因
前牙开(牙合)与口腔习惯等密切相关,常见不良口腔习惯包括吐舌、吮拇指、咬唇、咬物等,导致咬物部位形成局部小开(牙合),还可能与遗传因素相关。
治疗
前牙开(牙合)患者如处于儿童期的混合牙列期,可在医生建议下使用活动矫治器治疗,并纠正不良口腔习惯。如果患者处于成年阶段,可在医生指导下使用固定矫治器,并配合垂直向牵引,以达到一定的矫正效果。
参考文献
[1]冯萍.口腔科诊疗常规 下 2版[M].长春:吉林科学技术出版社,2019.343-344.
[2]王松灵.口腔医学 1[M].北京:中国协和医科大学出版社,2017.147.
展开
