概述
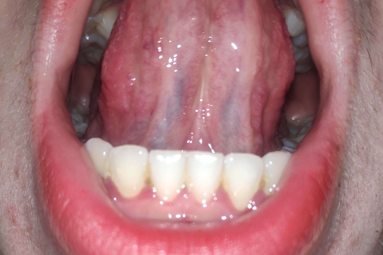
舌下两根血管是指舌下静脉,正常情况下直径不超过2.7毫米,颜色也较浅。
舌下静脉曲张可反应身体异常情况,有助于临床辅助诊断。
正常
舌下的两根血管通常是指舌下静脉,上卷舌尖时可见两根静脉行于舌底,正常人仅隐隐显于舌下,其直径不超过2.7毫米,颜色也较浅,呈淡紫色。

作用
舌下静脉异常可反应门静脉高压、血液循环功能障碍、二尖瓣疾病或肺气肿等疾病,仅可作为辅助判断。中医进行舌诊时也会观察舌下静脉,帮助辨证。此外,在心绞痛发作时用常采取舌下含服硝酸甘油,主要是因为舌下的黏膜较薄,且血运丰富,可使药物快速进行血液循环,进而发挥药效。
参考文献
[1]张媛媛,任振华主编.局部解剖学实验[M].合肥:安徽大学出版社,2019.06.28.
[2]何宏文主编.实验口腔颌面解剖学[M].广州.中山大学出版社.2020.03:126.
展开
