概述
急性坏死性龈口炎可表现为牙龈肿胀,局部发红,触碰容易出血,该病是由梭杆菌和螺旋体感染引起,需尽早抗感染治疗。
症状
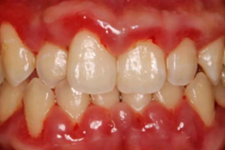
急性坏死性龈口炎患者牙龈边缘及龈乳头明显肿胀,局部发红,而后可迅速坏死,使龈缘变平,龈乳头呈“刀削样”缺损,表面覆盖灰褐色污秽假膜,患处牙龈触碰易出血,疼痛明显,口内有特殊的坏死性口臭。

病因
急性坏死性龈口炎是由梭杆菌和螺旋体感染引起的发生在牙龈边缘的急性坏死性口腔疾病。
正常情况下梭状杆菌和螺旋体为口内共生菌,一般不感染致病,但在过度疲劳、营养不良引起菌群失调时可引发口腔黏膜病损。
治疗
急性坏死性龈口炎需尽早遵医嘱给予抗感染治疗,如早期可刮去坏死组织及大块牙石,使用过氧化氢溶液冲洗;再遵医嘱使用甲硝唑片、维生素C片等药物,还可选择银花、甘草等中药煎水漱口。
参考文献
[1]樊明文主编.中华医学百科全书2临床医学.口腔医学[M].北京:中国协和医科大学出版社,2018.225-226.
[2]张佐主编.口腔临床实践指导[M].阳光出版社,2017.226-227.
展开
