概述
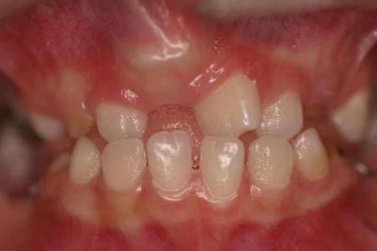
儿童门牙阻生牙,指牙齿在颌骨内不能萌出到咬合位置,若阻生的门牙被邻牙阻挡可被骨组织完全包埋,常见上门牙。
症状
儿童门牙阻生牙表现为门牙部分或完全不能萌出,门牙严重阻生时可导致门牙埋伏于黏膜或骨内。覆盖在阻生牙上的牙龈与阻生牙之间容易滋生细菌,引起口臭、龋坏、邻牙松动等情况。

病因
儿童门牙阻生牙的常见病因包括遗传、环境和医源性三方面因素。比如患有唐氏综合征,或者有乳牙早失、滞留乳牙、萌出障碍、牙胚异常、根管治疗等情况,均可能诱发阻生牙。
治疗
儿童门牙阻生牙需明确具体发育情况,通常有单纯手术暴露、去除病灶,以及手术配合正畸治疗,其中包括开放切口和闭合瓣两种方式。
参考文献
[1]张卫兵,严斌主编.阻生牙的诊断与正畸治疗[M].江苏凤凰科学技术出版社.2019.1-9.
[2]徐国权主编.口腔临床技术与临床实践[M].长春.吉林科学技术出版社.2019.235-237.
展开
