概述
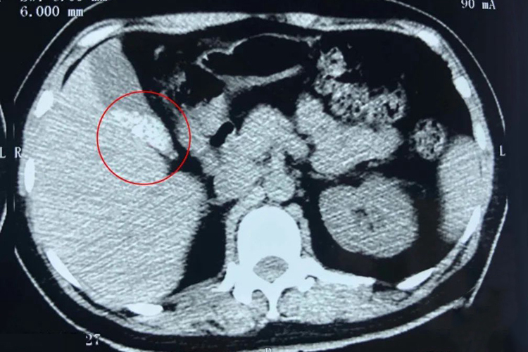
胆结石CT影像表现为高密度钙化影、高密度环影、等密度影、轻度钙化影和低密度影。
有规律的进食是预防胆结石发生的最好方法,另外还包括规律作息,保持心情舒畅。
影像学表现
胆结石CT片子影像表现为高密度钙化影、高密度环影、等密度影、轻度钙化影和低密度影五种情况。胆结石中胆红素和钙含量高,其CT影像密度越高,CT值也越高。

预防
有规律地进食是预防胆结石发生的最好方法。另外还需要保持饮食清淡,少吃油腻和炸烤食物;保持大便通畅;要改变静坐生活方式,多走动,多运动;保持心理健康,做到心胸宽阔、心情舒畅。日常应定期体检,若出现异常情况要在医生指导下选择相应的治疗方法。
参考文献
[1]陈雨强编著.胆囊炎与胆石症.第3版[M].北京:中国医药科技出版社.2021.154.
[2]莫国贤编著.保胆外科学[M].北京:科学技术文献出版社.2017.138.
展开
