概述
牙囊肿在临床上指牙源性颌骨囊肿和非牙源性颌骨囊肿,主要表现为不同程度的颌骨骨质膨胀,严重时可造成面部畸形。
牙源性颌骨囊肿由各种因素或慢性炎症刺激引起,非牙源性囊肿则是由发育过程中残留的上皮发展而来。
症状
非牙源性颌骨囊肿和牙源性颌骨囊肿症状大致相似,临床表现具体如下:
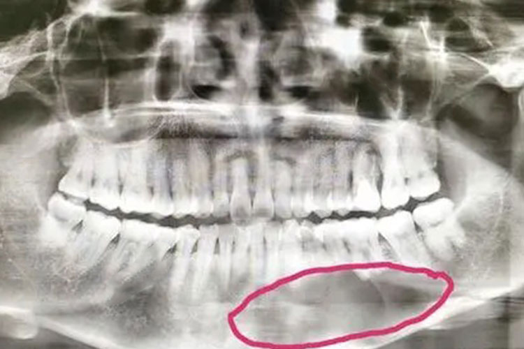
囊肿生长缓慢,初期无自觉症状,为慢性无痛性生长。骨质逐渐向周围膨胀形成颌骨膨隆,严重时造成面部畸形。

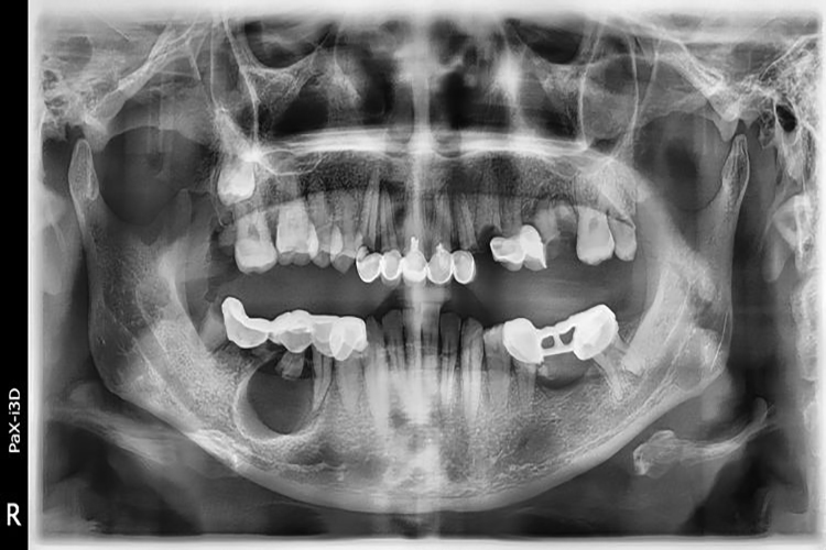
囊肿如继发感染,可有局部红肿、触压痛甚至脓肿形成,并可伴有发热等。巨大的颌骨囊肿可致牙松动、移位、脱落及咬合紊乱,影响进食。
颌骨囊肿因拔牙、损伤、长大等使囊肿破裂向口腔内破溃时,囊内多有草黄色或草绿色液体流出;如为角化囊肿,则可见似皮脂样物质。囊肿破裂后常造成口腔感染、异味。
上颌骨的囊肿侵入鼻腔及上颌窦,可引发相应的临床表现,如将眶下缘上推,可产生复视。当下颌囊肿发展过大,少数也可能引起病理性骨折。


病因
牙源性颌骨囊肿多是因慢性炎症刺激,引起不同组织变性、液化形成的。根端囊肿是增生的上皮团块中央发生变性、液化,逐渐形成的囊肿;始基囊肿(角化囊肿)是星形网状层发生变性,并有液体渗出,蓄积其中形成的;含牙囊肿(滤泡囊肿)在缩余釉上皮与牙冠面之间出现液体渗出而形成含牙囊肿。非牙源性囊肿是由胚胎发育过程中残留的上皮发展而来。
诊断
早期牙源性颌骨囊肿诊断较难,依据病程长短,肿物部位,触诊时发生乒乓球感或波动感,X线检查,穿刺及穿刺液涂片显微镜下检查也有助于诊断。非牙源性颌骨囊肿根据囊肿发生部位及牙髓是否存在活力等特征诊断。
治疗
牙源性颌骨囊肿和非牙源性颌骨囊肿,确诊后一般以手术治疗为主,如有炎症,需先控制炎症,手术目的是治愈囊肿、减少复发、保留功能。如囊腔内有可保留的牙根尖暴露,则行根管治疗和根尖切除,尽量保留患牙,无法保留的患牙应当拔除。
参考文献
[1]孔春燕.口腔常见病临床防治(下)[M].吉林科学技术出版社,2016.09,368.
[2]张爱民.现代实用口腔医学(下)[M].吉林科学技术出版社,2016.05,483.
[3]董立新.现代实用口腔基础与临床[M].科学技术文献出版社,2014.05,230.
