概述
儿童牙齿色素沉着可能是由龋病、氟牙症、酸蚀症导致,主要表现为牙齿出现色素沉着,一般无自觉症状。
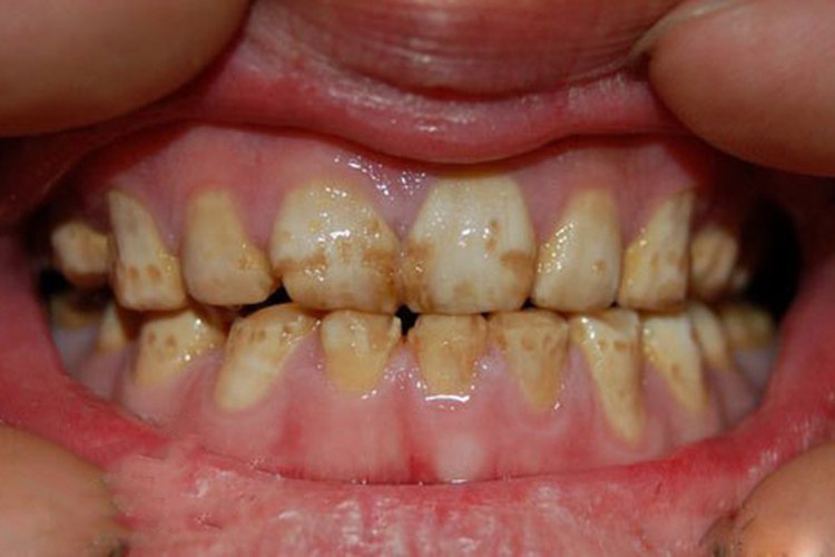
症状
龋病、氟牙症、酸蚀症为不同的疾病,虽然都会导致牙齿色素沉着但具体症状有一定区别。
龋病:临床表现为牙釉质、牙本质和牙骨质颜色、形态和质地发生改变。早期出现牙透明度降低、牙釉质表面呈白垩色改变,继而病变部位色素沉着,局部呈黄褐色或棕褐色,此时尚无牙体缺损。随着破坏的深入,牙体缺损形成龋洞,龋洞一旦形成则不能自行恢复。

氟牙症:具有地区好发性,恒牙多发,常呈现对称性斑块或牙体缺损,同一时期萌出牙的牙釉质上有白垩色或褐色的斑块以及缺损。牙对摩擦的耐受性降低,但对酸的抵抗力增强。

酸蚀症:早期仅出现牙敏感,以后逐渐出现牙体组织实质性缺损。酸蚀的表现因酸的种类不同有所差异。硝酸所致者多发生于牙颈部,表现为白垩状、黄褐色或者灰色的脱矿斑块,质地松软、易崩碎而逐渐形成实质性缺损。

病因
龋病、氟牙症、酸蚀症为不同的疾病,有不同的病因。具体如下:
龋病:口腔微生物代谢食物中的碳水化合物产生有机酸,是造成牙体硬组织溶解,最终形成龋洞的重要原因。除了口腔微生物,宿主因素、食物因素、时间因素也会是龋病的发生因素。
氟牙症:高氟地区的婴幼儿及儿童,因饮水等途径从环境中摄入过量的氟,导致牙釉质发育不良或者矿化不全,牙釉质多孔性增加,表层牙釉质塌陷,造成牙齿色素沉着,形成牙体缺损。
酸蚀症:酸或者酸酐是直接病因,主要因儿童长期大量饮用酸性饮料,引起酸蚀症。
治疗
不同的疾病有不同的治疗方式,但均应在医生的指导下进行治疗。具体如下:
龋病:养成良好的卫生习惯,控制含糖食物的摄取,对乳牙和恒磨牙进行窝沟封闭,对于已形成龋洞的牙齿进行树脂填充。
氟牙症:预防氟牙症的关键是在6-7岁之前尽量避免摄入过量的氟。已形成氟牙症的牙,可通过复合树脂修复、贴面修复及烤瓷冠修复等方法治疗。
酸蚀症:注意刷牙、控制酸性饮食。症状较轻时可进行脱敏治疗。牙缺损严重可采用充填修复治疗。出现牙髓根尖周病变需行根管治疗。
参考文献
[1]张志愿.口腔科学.第9版[M].北京.人民卫生出版社.2018.43.46.49.
[2]周学东.牙体牙髓病学.第5版[M].北京.人民卫生出版社.2020.40.
