概述
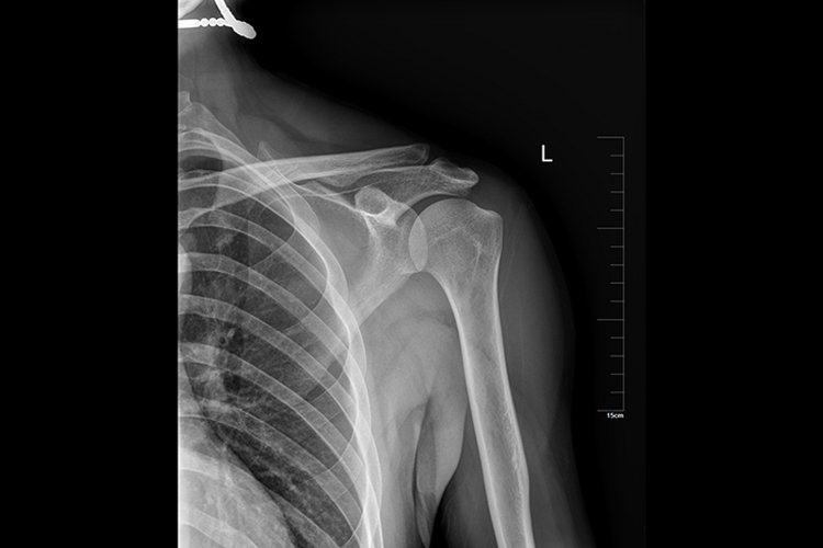
肱骨正侧位标准片,图像范围包括肱骨大结节、三角肌粗隆等,肱骨骨纹理清晰显示,软组织显示良好,常用于明确病位等。
表现
肱骨的正侧位标准片表现为肱骨大结节位于其上端外侧缘,肱骨头与关节孟有少部分重叠,中段的三角肌粗隆位于骨干外侧,肱骨下端内、外上髁轮廓分别位于内外侧缘。肱骨骨纹理清晰显示,软组织显示良好。

意义
肱骨正侧位标准片,主要用于判断病变的有无,观察病变的进展,证实或核实初步诊断,并明确病变的位置、大小、形状、性质等,或者指导骨折和脱位的整复、牵引固定和其他治疗措施等。
参考文献
[1]郑晓林,朱纯生主编.现代X线投照技术学[M].西安.世界图书出版西安有限公司,2017.164-166.
[2]阮玉山,李菲,顾霄鹏著.现代骨伤与骨病临床诊疗学[M].汕头.汕头大学出版社,2020.01.
展开
