概述
第一腕掌关节脱位表现为腕背侧压痛,手背部肿胀、疼痛,甚至出现拇指活动受限,由于间接暴力作用在第一掌骨导致,需行复位治疗。
症状
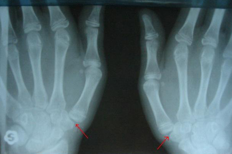
第一腕掌关节脱位表现为手背部肿胀、疼痛、拇指活动受限;腕背侧压痛,第1掌骨头叩击痛,同时有松脱感,在腕背侧可触及骨端隆起畸形。通过X线检查,可以观察到第一掌腕关节面平行排列关系丧失。

病因
第一腕掌关节脱位在临床并不多见,主要由于拇指活动范围较大,当间接暴力作用在第一掌骨发生时,可导致腕掌关节脱位,出现相关临床症状。
治疗
第一腕掌关节脱位可采用非手术复位手法,复位成功后,用塑形夹板或铝板或石膏条将拇指腕掌关节固定在轻度前屈,外展对掌位。对于手法复位失败或不能手法复位者,需要手术治疗。
参考文献
[1]张华主编.骨科常见疾病诊断与治疗[M].长春.吉林科学技术出版社,2019.140.
[2]叶钢编著.临床骨病诊疗新进展[M].西安.西安交通大学出版社,2015.146.
展开
