概述
大腿骨干骨折髓内钉术即髓内钉固定,是一种内固定,可以减少对骨折断端周围软组织的破坏,最大限度保留骨干的供血。
髓内钉固定
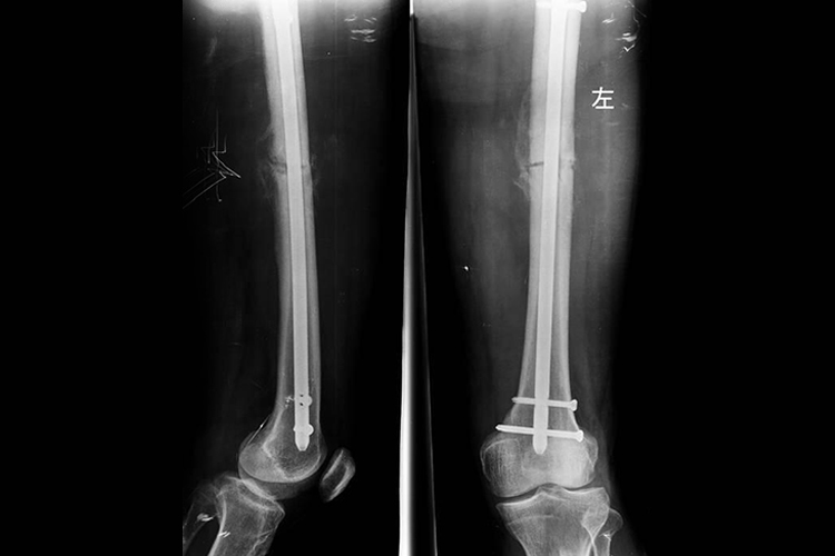
大腿骨干骨折多指股骨骨折,髓内钉固定是利用不同类型的钢钉,穿入需固定的骨干髓腔内,以控制该骨干的骨折位置。一般先将髓内钉安全地装在近端瞄准装置,使用临时透视来确保髓内钉正确地前进穿过骨折部位到达合适位置。在完全打入后,髓内钉的近端应该与梨状窝平齐,髓内钉的远端大约在股骨髁线水平,接近髌骨上极。术后可通过X线检查固定情况。


注意事项
大腿骨干骨折髓内钉固定适用于病理性、严重粉碎性、节段性骨折。术后患者应注意局部伤口的清洁卫生,注意及时更换敷料,从而预防感染及并发症。同时还应在医生指导下及时进行功能锻炼,如抬高患肢、固定肌肉行等长收缩、关节主动运动及抗阻运动等,从而促进血肿的吸收、加速骨折断端的纤维性连接和骨痂形成、防止关节粘连僵硬、恢复关节活动、防止肌肉萎缩、恢复肌力。
参考文献
[1](日)安田和则.下肢骨折 脱位 手术技巧和难点解析[M].郑州.河南科学技术出版社.2016.159.
[2]唐冰之,胡剑锋,李晓辉.实用骨科学[M].长春.吉林科学技术出版社.2019.171-172.
展开
