概述
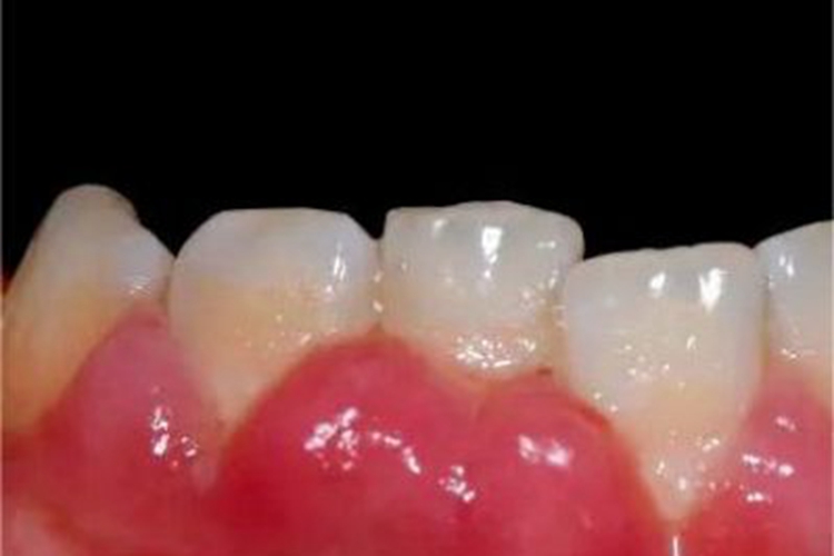
青春期龈炎可表现为患者牙龈表面出现肉球样改变,呈红色,质地较为松软,与菌斑刺激有关,需遵医嘱用药治疗。
症状
青春期龈炎的黏膜损害可表现为局部表面牙龈增生,呈肉球样改变,颜色呈红色,明显隆起于黏膜表面,多挤压在牙缝之间,触摸其质地较为松软,随着病情加重,牙龈继续肿大,牙齿可能会出现移位现象。

病因
青春期龈炎主要病因为菌斑刺激,并且青春期患者由于乳恒牙的更替、牙列不齐、口呼吸以及戴矫治器等,造成牙齿不易清洁,如未形成良好的口腔卫生习惯,易造成菌斑滞留,引发龈炎,从而导致局部出现肉球样损害。青春期内分泌特别是性激素的改变,可使牙龈对菌斑等局部刺激物产生明显的炎症反应,或使原有的慢性龈炎加重。
治疗
青春期龈炎患者需要通过洁治术彻底清除菌斑,彻底纠正不良修复体等刺激因素。炎症较重者可配合局部药物治疗,包括过氧化氢溶液、复方氯己定含漱液等。牙龈增生明显,炎症消退后牙龈形态仍不能恢复正常者,可行牙龈成形术。需注意,以上治疗均需遵医嘱进行。
参考文献
[1]口腔执业医师资格考试专家组.口腔执业医师资格考试应试指导;2020版[M].北京:中国协和医科大学出版社,2019.11.459-460.
[2]林久祥,赵铱民主编.中华医学百科全书;临床医学;口腔医学;3[M].北京:中国协和医科大学出版社,2019.05.26-27.
[3]徐国权等主编.口腔临床技术与临床实践[M].长春:吉林科学技术出版社,2019.03.98.
[4]张志愿.口腔科学.第9版[M].北京.人民卫生出版社.2018.64.
展开
