概述
需要换的牙齿分为正常更换的乳牙,以及病理因素导致的龋齿、断牙。
牙齿是口腔的重要组成部分,日常生活中应注意保护牙齿。
症状
需要换的牙齿可以分为正常情况和异常情况的牙齿,具体如下:
正常情况
乳牙:人的一生中有两副天然牙,根据萌出的顺序分为乳牙和恒牙。乳牙一般在出生后6个月时开始萌出,3岁左右出齐,6岁左右乳牙开始逐渐脱落,并长出恒牙。

异常情况
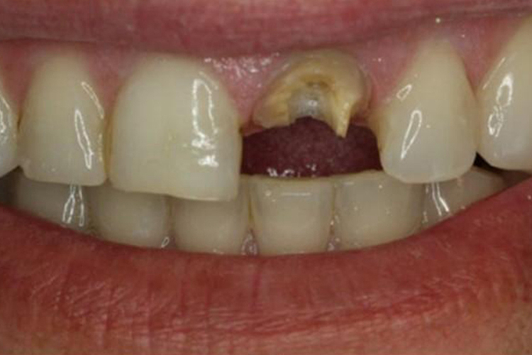
因异常情况需要更换牙齿的情况可分为龋齿和断牙,其临床表现如下:
龋齿:严重的龋齿可导致牙髓感染,导致牙根暴露、牙神经感染,出现剧烈疼痛,牙体由于细菌的侵蚀可出现破损,难以修补,这种情况下需要拔牙,可更换义齿。

断牙:由于外力冲击等因素导致牙冠断裂,并导致牙髓腔暴露,牙神经可受到刺激,出现剧烈疼痛,牙髓失去活力,可以拔除牙根,更换义齿。

注意事项
正常情况下,人体的牙齿进入恒牙期后不会再自然更换,因此日常生活中应注意保护牙齿,按时刷牙,饭后漱口,定期进行口腔检查。对于牙齿疾病应尽早治疗,以免病情加重。
参考文献
[1]丁文龙,刘学政.系统解剖学.第9版[M].北京.人民卫生出版社.2018.97.
[2]张志愿.口腔科学.第9版[M].北京.人民卫生出版社.2018.8.
[3]张震康,俞光岩,徐韬.实用口腔科学.第4版[M].北京.人民卫生出版社.2016.43-44.58.
展开
