概述
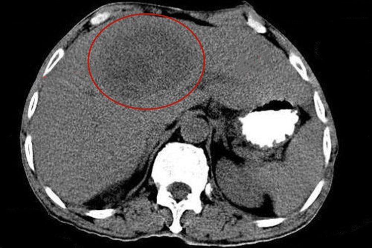
肝脓肿根据其脓肿形成原因分为细菌性肝脓肿和阿米巴肝脓肿,影像学检查可见肝内有圆形或椭圆形的低密度区,患者需遵医嘱治疗。
外观
肝脓肿根据其病因分为细菌性肝脓肿和阿米巴肝脓肿,两者的影像学检查存在差异。
细菌性肝脓肿
细菌性肝脓肿的肝脏平扫CT呈低密度、不均匀改变,形态多样化,单发或多发,单房或多房,圆形或椭圆形,边界清楚,已形成脓肿者壁较厚,脓肿腔内可有气影。增强的特点为在未形成脓腔前不均匀增强,在形成脓腔后,其壁内侧光滑增强,壁外侧模糊。

阿米巴肝脓肿
阿米巴肝脓肿的CT检查能发现1cm以下的小脓肿,主要表现为均匀的圆形或卵圆形的低密度区,边缘不甚清晰。增强后脓肿壁环状增强,其内可有气体存在。

处理
这种情况需及时进行治疗,根据导致肝脓肿的病因采取针对性的治疗措施,但是需注意,药物应遵医嘱使用。
细菌性肝脓肿
细菌性肝脓肿必须早期诊断,积极治疗。需给予充分营养支持,必要时多次少量输血和血浆、纠正低蛋白血症,增强机体抵抗能力,并纠正水和电解质平衡失调等。同时需积极使用抗生素进行治疗,也可行经皮肝穿刺脓肿置管引流术、手术切开引流等治疗。需注意,以上治疗均应由专业人士进行。
阿米巴肝脓肿
阿米巴肝脓肿的治疗多主张以内科治疗为主,应选用组织内杀阿米巴药,并辅以肠腔内抗阿米巴药,以达根治。常用药物有甲硝唑、替硝唑等硝基咪唑类药物,必要时需行肝穿刺引流、外科手术引流等治疗。日常需卧床休息,给予高蛋白,高热量饮食,补充维生素,营养不良者应加强支持治疗。需注意,以上治疗均应由专业人士进行。
参考文献
[1]陈孝平,汪建平,赵继宗.外科学.第9版[M].北京.人民卫生出版社.2018.414-416.
[3]段志军.消化内科学 高级医师进阶.第1版[M].北京.中国协和医科大学出版社.2016.370-379.
[3]李兰娟,任红.传染病学.第9版[M].北京.人民卫生出版社.2018.265-268.
