概述
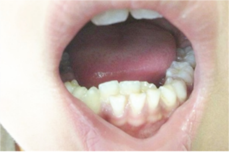
一颗门牙竖着长可能是多生牙、乳牙滞留,分别可见牙齿扭转、拥挤,或有未掉的乳牙。
一颗门牙竖着长是牙齿发育异常,出现多余牙齿,或乳牙未掉,阻碍恒牙的正常萌出导致。
症状
一颗门牙竖着长可能是多生牙、乳牙滞留的症状,具体表现如下:
多生牙
多生牙好发于上颌前牙区,可出现一颗门牙竖着长的症状,可见牙齿扭转、异位和牙列拥挤,多生牙多呈锥形、结节形、不规则形,也可与正常牙相似。
乳牙滞留
乳牙滞留也可出现一颗门牙竖着长的症状,可表现为乳牙未脱落,新牙在异位萌出,可出现竖着长,也可出现双排牙现象。

病因
一颗门牙竖着长可能是多生牙、乳牙滞留的症状,病因具体如下:
多生牙
多生牙是一种牙齿发育异常,上颌前牙出现多余的牙齿,影响牙胚的正常发育方向,阻碍恒牙的正常萌出,从而出现一颗门牙竖着长的症状。
乳牙滞留
乳牙滞留是由于乳牙根吸收不足,致使乳牙不及时脱落,从而影响了恒牙的萌出,使恒牙异位萌出,从而出现一颗门牙竖着长的症状。
治疗
出现一颗门牙竖着长的情况,需进行针对性治疗。
多生牙
出现多生牙导致的一颗门牙竖着长症状时,需积极就医检查,在医师评估下及时拔除多生牙,若多生牙位于年轻恒牙根尖附近,可待年轻恒牙牙根发育完成后再拔出,术后注意口腔卫生,防止感染。
乳牙滞留
出现乳牙滞留导致的一颗门牙竖着长症状时,需积极就医,在医师评估下,判断是否需及时拔除乳牙,以使恒牙正常生长,拔除后恒牙若仍不正常生长,还需进行牙齿正畸,并注意经常检查牙齿。
参考文献
[1]林久祥,赵铱民主编.中华医学百科全书 临床医学 口腔医学 3[M].北京.中国协和医科大学出版社,2019.103.
[2]申昆玲编.儿童健康百科[M].北京.中国妇女出版社,2017.406.
展开
