概述
口腔下颚有硬的凸起表现为局部硬性隆起,部分伴有红肿、胀感、疼痛等症状。多与唾液滞留、下颌骨发育异常等原因有关。
症状
口腔下颚有硬的凸起多见于唾液腺结石病、下颌隆突等情况,其症状有所不同。
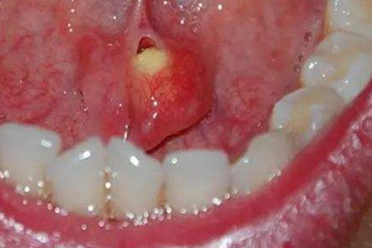
唾液腺结石病
表现为口腔下颚出现硬结性肿块,如果肿块过大,引起导管阻塞,可伴有腺体红肿,自觉胀感和疼痛感,停止进食后不久肿大腺体自行复原,疼痛亦随之消失。但严重时腺体肿胀可持续数小时或数天,甚至不能完全消退,部分导管口黏膜红肿,挤压腺体可见少量脓性分泌物自导管口溢出。

下颌隆突
表现为局部有局限性圆形隆起,外形似豌豆或核桃状,位于下颌尖牙及前磨牙的舌侧下颌体部。大小不一,可为单个或多个,质地坚硬,表面光滑,黏膜正常,生长缓慢,无疼痛等自觉症状。

病因
口腔下颚有硬的凸起若是唾液腺结石病,其病因还不十分清楚,可能与异物、炎症或各种原因造成的唾液滞留有关,也可能与机体无机盐新陈代谢紊乱有关;而下颌隆突的病因主要与下颌骨发育异常有关,出现生长于颌骨表面的局限性隆起。
治疗
口腔下颚有硬的凸起若是唾液腺结石病引起的,且唾液腺结石较小,可进食酸性食物,促使唾液分泌,有望自行排出,较大者可遵医嘱使用口内导管切开取石术、唾液腺内镜取石术,必要时选择下颌下腺切除术等方法治疗。
若是下颌隆突引起的且症状较轻,一般不需处理,当下颌隆突增大形成倒凹而影响义齿就位或固位,妨碍舌体运动时,则需行骨隆突修整术治疗。
参考文献
[1]张志愿.口腔科学.第9版[M].北京.人民卫生出版社.2018.157-158.
[2]张志愿.口腔医学4[M].北京.中国协和医科大学出版社,2019.158-159.
[3]陈悦.口腔内科学与病理学概览[M].北京/西安.世界图书出版公司.2018.21.
展开
