概述
大拇指半脱位可能是指指间关节未完全脱位,主要表现为关节局部疼痛、肿胀畸形、活动障碍等症状,可能是创伤导致,需遵医嘱治疗。
症状
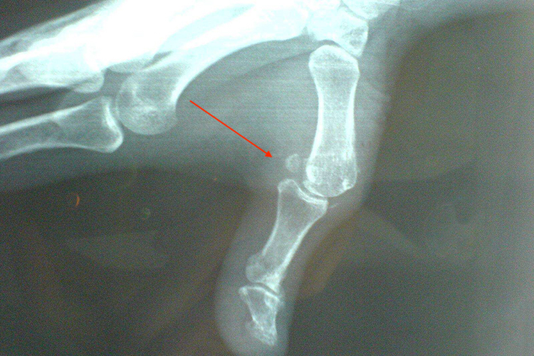
大拇指半脱位主要表现为指间关节未完全脱位,伴有关节局部疼痛、活动障碍。检查时可见拇指肿胀畸形、压痛明显,被动活动时疼痛加剧,且可有明显的弹性固定感。可能伴有侧副韧带断裂或有指骨基底撕脱性骨折。


病因
大拇指半脱位主要表现为指间关节未完全脱位,指间关节为屈戌关节,关节囊的两侧有副韧带加强,脱位的方向多为远节指骨向背侧移位,或内、外侧移位,前方脱位少见。在关节极度过伸、扭转或侧方挤压外力作用时可造成指间关节脱位,有时伴有侧副韧带损伤,严重时侧副韧带断裂,或伴有撕脱骨折。
治疗
大拇指半脱位的治疗主要是由专业人士进行手法复位,然后进行固定。若合并骨折等复杂情况,应遵医嘱采取手术治疗。恢复后遵医嘱进行康复功能锻炼。
参考文献
[1]张华主编.骨科常见疾病诊断与治疗[M].长春.吉林科学技术出版社.2019.146-147.
[2]郭守进主编.现代临床骨科学[M].上海.上海交通大学出版社.2018.233-234.
展开
