概述
暴露性角膜炎患者角膜可表现为局部出现白斑,境界不清,周围有红血丝,可能与眼睑缺损等因素有关,可遵医嘱选择手术治疗。
症状
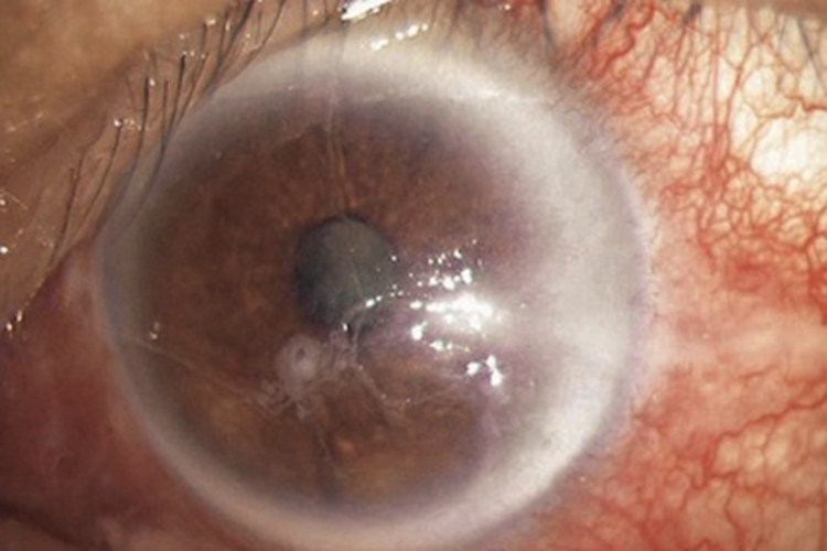
暴露性角膜炎患者角膜可表现为其内侧边缘出现一圈清晰白斑,与内部正常角膜之间境界不清,中间有丝状物,四周充满红血丝,角膜上皮干燥,粗糙,初期有点状上皮糜烂,继而形成大片的上皮缺损,甚至新生血管,可形成化脓性角膜溃疡。

病因
暴露性角膜炎可能与眼睑缺损、眼睑外翻、眼球突出、眼睑闭合不全、昏迷、面神经麻痹等相关。
治疗
暴露性角膜炎患者可使用人工湿房保护角膜,夜间涂抗生素眼膏预防感染,也可在医生的指导下进行手术治疗,包括眼睑缺损修补术、眼睑植皮术、睑缘缝合术等,消除暴露因素,恢复闭睑功能。
参考文献
[1]李玲主编.现代眼科疾病诊疗学[M].昆明.云南科学技术出版社,2020.07.124.
[2]杨培增,范先群.眼科学.第9版[M].北京.人民卫生出版社.2018.118.
展开
