概述
儿童牙齿波浪形主要表现为牙齿的咬合面呈波浪形状,可能是正常现象,也可能是先天性梅毒牙、釉质发育不全等异常原因导致。
症状
儿童牙齿波浪形可能是正常现象,也可能是先天性梅毒牙、釉质发育不全等异常表现,具体症状有所不同。
正常现象
恒牙刚萌出后可出现切缘结节,表现为初萌切牙切缘上圆形的隆突,呈波浪形,随着牙齿的磨耗可逐渐消失。

异常现象
先天性梅毒牙:主要累及上中切牙以及第一磨牙,可表现为牙齿两侧边缘向切嵴聚合,切牙牙间隙较大,在切嵴处有明显的半月形切迹,呈波浪形。

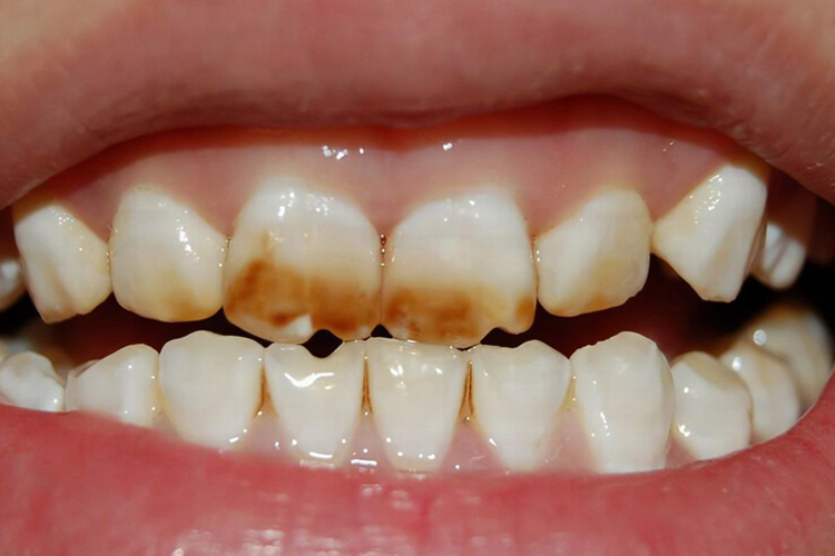
釉质发育不全:重度釉质发育不全的牙表现为实质性釉质缺损,牙表面呈点状、窝状或带状凹陷,可呈波浪形。

病因
儿童牙齿波浪形可能是正常现象,也可能是先天性梅毒牙、釉质发育不全等异常,具体原因有所不同。
正常现象
由于恒牙新萌出不久,磨耗不明显,尚可见明显的切缘结节,可表现为牙齿波浪形。
异常现象
先天性梅毒牙:在出生前牙胚细胞中就可以发现有炎性反应及密螺旋体存在,会使得成釉细胞受损,引起釉质基质的分泌障碍,形成半月形损害。
釉质发育不全:可能是营养不良、乳牙根尖周感染、创伤、遗传等因素导致,累及前牙可使切缘变薄,累及后牙则出现牙尖的缺损或消失,从而导致牙齿波浪形。
治疗
儿童牙齿波浪形可能是正常现象,不需要进行治疗,但是对于先天性梅毒牙、釉质发育不全等异常现象,需积极遵医嘱治疗。
先天性梅毒牙:对于梅毒血清试验阳性者,应先行抗梅毒治疗。形态结构异常的梅毒牙,可由医生用复合树脂、树脂冠修复,第一恒磨牙可做高嵌体或金属冠修复。
釉质发育不全:可遵医嘱采用局部涂氟、窝沟封闭及预防性充填等措施预防龋病。对于釉质缺损严重的磨牙,可行金属预成冠修复。牙发育成熟后,可做树脂贴面、烤瓷贴面及冠修复改善症状。
参考文献
[1]杜建东等主编.口腔疾病综合诊疗常规 上[M].长春:吉林科学技术出版社.2017.06.61-62.
[2]林久祥,赵铱民主编.中华医学百科全书 临床医学 口腔医学 3[M].北京:中国协和医科大学出版社,2019.05.107.
[3]文玲英,吴礼安主编.实用儿童口腔医学[M].北京:人民军医出版社.2016.01.52-53.
