概述
梅毒喉咙起疱可见于一期梅毒、二期梅毒,表现为喉咙处出现水疱、溃疡、糜烂,是因感染梅毒螺旋体所致,可使用药物治疗。
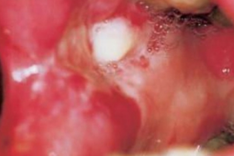
症状
梅毒喉咙起疱可见于一期梅毒、二期梅毒,主要症状如下:
一期梅毒:梅毒螺旋体进入人体后可形成发生硬下疳,在该螺旋体首次接触的部位发生,如在舌、喉咙、扁桃体等口腔部位。表现为高起的结节性圆形疱,直径可达1-2cm,中心有溃疡或形成痂皮。特点为无疼痛感。

二期梅毒:二期梅毒在口腔的常见表现为咽部、扁桃体的炎症。表现为黏膜斑,呈浅在圆形或椭圆形糜烂表面,有光滑的灰白色渗出膜,形似疱,周围有斑片状充血发红区。

病因
梅毒是由梅毒螺旋体引起的慢性传染病,主要通过性接触、母婴传播和血液传播。
治疗
青霉素类为治疗梅毒的首选药物,可遵医嘱应用苄星青霉素、普鲁卡因青霉素等。此外,头孢曲松钠、四环素类和大环内酯类药物通常作为青霉素过敏者的替代治疗药物。
参考文献
[1]张学军,郑捷.皮肤性病学.第9版[M].北京.人民卫生出版社.2018.215.
[2]李兰娟,任红.传染病学.第9版[M].北京.人民卫生出版社.2018.250-253.
展开
