概述
蛀牙一般是指龋病,蛀牙黑点是牙齿脱矿后病变部位的色素沉着,其发病多与口腔内清洁度不佳,细菌和食物残渣相互作用有关。
症状
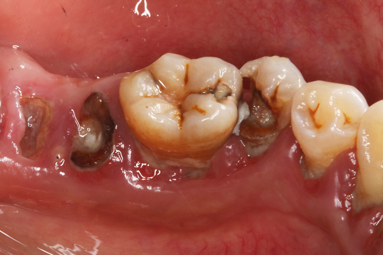
蛀牙初期先累及牙表层牙釉质,表现为硬组织发生脱矿,微晶结构改变,牙釉质透明度下降,致使牙釉质呈白垩色。继之病变部位有色素沉着,局部可呈黄褐色或棕黄色,类似黑点。随着组织脱矿、有机质破坏分解的不断进行,牙釉质和牙本质会逐渐软化,釉质龋损变色区有粗糙感,失去原有的光滑度,最终发生牙体缺损,形成龋洞。




病因
口腔内细菌与食物残渣等能够形成带腐蚀性的酸性物质,当口腔内清洁度不佳,牙齿被细菌及残渣长期腐蚀,即可导致龋齿的发生,表现为有黑点的情况。
治疗
建议及时就诊请医生去净龋损牙体组织及感染牙本质,消除感染源,尽可能保留健康牙体组织,同时考虑进行窝洞充填术进行牙体修复。修复手术后,需定期进行牙齿的洁治,避免牙菌斑滋生。平日养成良好的刷牙习惯,早晚刷牙,饭后漱口,少吃甜食及酸性食物,以减少龋齿的发生。
参考文献
[1]樊明文主编,中华医学百科全书.2.临床医学.口腔医学[M].北京.中国协和医科大学出版社,2018.8.
[2]刘青,许玲,赵永波主编,当代口腔疾病诊断与治疗[M].长春.吉林科学技术出版社,2019.15.
展开
