概述
牙龈退缩可表现为患者龈缘后退,露出黄褐色牙根,牙间隙增大,影响美观,可能是多因素导致的,需遵医嘱治疗。
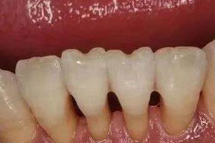
症状
牙龈退缩的黏膜损害可表现为患者龈缘位置向后退,露出黄褐色牙根,牙体增长,呈倒三角形,相邻牙齿的根部暴露增多,牙间隙增大,形成三角形的空洞,影响美观,易造成食物嵌塞和菌斑堆积。

病因
牙龈退缩可能是多因素导致的,包括菌斑滞留、刷牙不当、正畸治疗、咬合力过大以及解剖因素等。另外,如果患有牙周炎,经过治疗后炎症消退,也可表现为牙龈退缩。
治疗
牙龈退缩如果病情较轻,患者可先进行观察,无需特殊治疗。如果患者病情持续加重,可遵医嘱进行牙龈修复手术、引导性骨再生术等,以恢复牙体正常形态,改变牙排列情况。如果患者牙菌斑较多,可遵医嘱进行洗牙治疗,以免牙结石破坏牙龈结构,诱发牙龈炎,使病情加重。此外,患者口腔卫生较差,可遵医嘱使用复方氯己定含漱液、复方硼砂含漱液等药物进行治疗,以促进病情恢复。
患者日常应保持口腔清洁,平时要认真刷牙,饭后应用淡盐水或清水漱口,以免口腔内细菌滋生。
参考文献
[1]孟焕新.牙周病学.第5版[M].北京.人民卫生出版社.2020.175-176.
[2]张震康,俞光岩,徐韬.实用口腔科学.第4版[M].北京.人民卫生出版社.2016.124.
展开
