概述
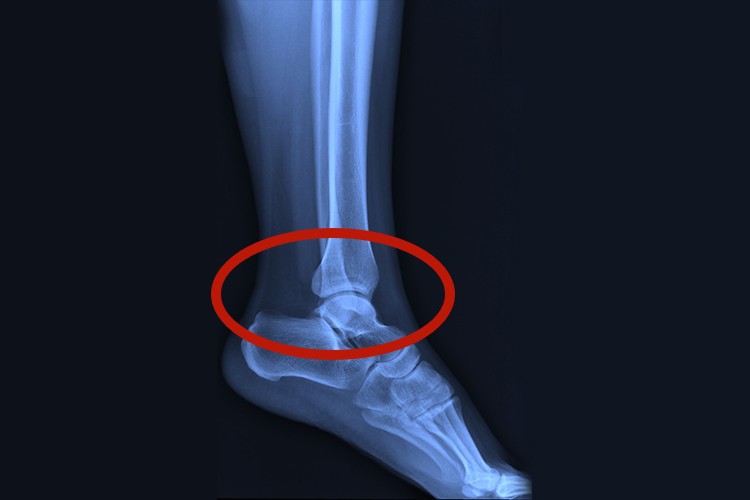
脚踝也称为踝关节,位于足部和小腿相连的位置,由胫、腓骨的下端和距骨的滑车构成,周围有一系列的韧带和软组织加固。
位置
脚踝位于足部和小腿相连的位置,由小腿的胫、腓骨的下端和距骨的滑车构成,胫骨的下关节面及其内踝和后踝与腓骨的外踝共同构成一关节窝,称为踝穴。在关节的周围有一系列的韧带及软组织加固,形成结构独特的踝关节。

异常症状
由于踝关节的特殊解剖构造,容易发生脚踝部位的损伤,如受到外力后产生韧带拉伤、踝关节脱位、骨折等,可导致明显的脚踝局部疼痛、肿胀,甚至畸形,需要尽快就医诊治。
参考文献
[1]靳安民,汪华桥.骨科临床解剖学[M].济南.山东科学技术出版社.2020.433-434.
[2]姜虹.骨外科学.高级医师进阶.第1版[M].北京.中国协和医科大学出版社.2016.163-164.
展开
