概述
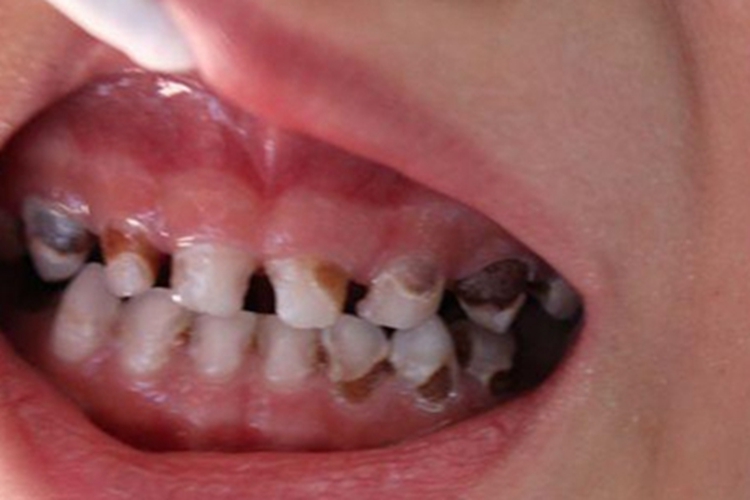
低龄儿童龋患儿牙釉质受到破坏,可表现为牙齿有明显的颜色改变,出现缺损,牙缝变大。
本病的发生主要是由于牙面无法自洁、高糖饮品滞留口腔所致,可遵医嘱采取治疗。
症状
低龄儿童龋患儿牙釉质受到破坏,起初可表现为牙齿有明显的颜色改变,近牙根处牙齿出现黄褐色斑块,进而斑块颜色变黑,牙齿出现缺损,牙缝变大。

病因
低龄儿童龋主要是由于家长用奶瓶给婴幼儿喂食高糖含量的饮品,且婴幼儿初萌的乳牙硬组织矿化不足,牙面结构有发育缺陷,奶嘴与牙齿长期接触,导致牙面无法自洁、高糖饮品滞留口腔,进而导致牙釉质受到破坏,牙齿出现龋坏。
治疗
低龄儿童龋牙齿龋坏的治疗,可遵医嘱进行药物治疗或窝洞充填术。对于前牙的广泛龋损,不易制备洞形修复,药物治疗常为首选,常用药物有氟化钠、氟化亚锡等。
若是后牙出现龋坏,可通过充填治疗恢复牙体形态,提高咀嚼功能。具体治疗措施应谨遵医嘱进行。治疗期间应保持口腔卫生清洁,保持早晚刷牙、进食后漱口的习惯,减少或避免龋坏加重。
参考文献
[1]林久祥,赵铱民主编.中华医学百科全书;临床医学 口腔医学3[M].北京.中国协和医科大学出版社.2019.116-117.
[2]唐红萍,朱兰省,崔永新主编.现代口腔诊疗学[M].汕头.汕头大学出版社.2019.11-12.
展开
