概述
CT检查为肝癌的主要影像学检查方法,肝癌CT图像主要表现为肝内出现圆形或类圆形的低密度区,可伴有局部坏死、钙化等表现。
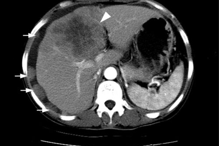
表现
肝癌在CT平扫多表现为低密度影,即肝癌组织比正常组织在图像上暗;随着病灶体积增大,肿瘤组织可发生坏死、出血、钙化或脂肪变性,CT显示肝内密度不均,CT增强可显示动脉期明显强化,静脉期表现为相对低密度。

治疗
目前肝癌的治疗手段主要有外科手术治疗、放射治疗、化学药物治疗、介入放射学治疗等,具体治疗方法需根据肝癌的病情来进行选择,肝癌早期以手术治疗为主,最大限度地完整切除肿瘤,使切缘无残留肿瘤,并配合化疗减少复发。如果肝癌已进展到晚期,通常无法治愈,可进行放疗、化疗、靶向、免疫治疗延长患者生存时间。
参考文献
[1]张春霞主编.肿瘤内科学.高级医师进阶[M].北京.中国协和医科大学出版社.2016.378-379.
[2]谷野,司永仁,吴威主编.肝癌的多学科综合诊断与治疗[M].沈阳.辽宁科学技术出版社.2020.09.3.
展开
