概述
龈下刮治后效果存在个体差异,可能获得较好效果或引发一系列并发症,因此术后需定期到医院复查,以便于及时发现异常。
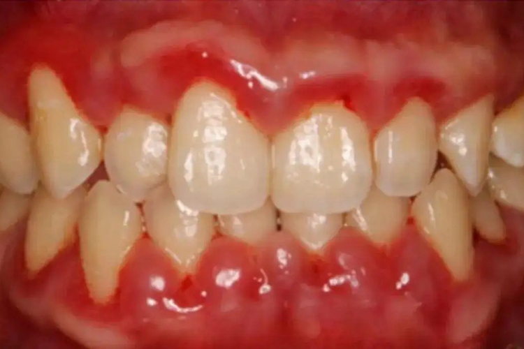
效果对比
龈下刮治术是去除龈下菌斑、牙石的有效方式,采取该措施治疗后多数下可获得较好治疗效果,但也可能引发术后并发症。
治疗效果较佳
龈下刮治术后可清除龈下菌斑与牙石、破坏菌斑生物膜结构、减少牙周袋内龈下病原微生物数量、改变龈下菌斑构成等,伴随上述改变,牙龈炎症会减轻或消失,探针牙周袋深度变浅,有临床附着获得,炎症得到控制。

出现术后并发症
部分进行龈下刮治术者,受病情轻重、操作方式等因素影响,可能出现牙龈萎缩、牙龈肿胀或形成脓肿等,累及牙齿、牙周组织,出现疼痛、出血、肿胀等不适。


注意事项
并非所有人群均可选择龈下刮治,凝血功能异常、全身系统疾病危重等人群,一般不建议进行龈下刮治,可能加重病情。经医生判断可进行该治疗者,术后还需注意口腔护理、检查措施等,以免再次损伤局部组织。
口腔护理
术后需注意保持口腔卫生,如勤刷牙、漱口,以免食物残渣嵌塞而引发口臭、龋齿等。还需正确使用牙刷、牙线等工具,以免伤及牙齿、牙龈等。
定期复查
由于龈下刮治过程中不仅涉及牙根面,牙周袋内壁上皮、结合上皮和结缔组织也会不同程度地受到波及或被刮除。一般上皮会在术后1-2周内完全修复,结缔组织的修复则将持续2-3周,因此,术后2-4周内不宜探查牙周袋,以免影响和破坏组织的愈合。
参考文献
[1]樊明文主编.中华医学百科全书 2 临床医学 口腔医学[M].北京:中国协和医科大学出版社,2018.98-100.
[2]王玮主编.现代实用口腔医学[M].云南科学技术出版社,2020.144.
展开
