概述
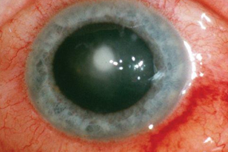
细菌性角膜溃疡可表现为黑眼球浑浊,黑眼球中央为黑色,边缘有灰白色环形斑块。
该病是角膜创伤、疾病后,表面屏障功能被破坏,细菌入侵所致,需遵医嘱进行相应治疗。
症状
细菌性角膜溃疡可表现为黑眼球浑浊,黑眼球中央为黑色,边缘有灰白色环形斑块,同时白眼球上充满血丝,并伴随畏光、水肿、刺痛或灼痛等表现。

病因
细菌性角膜溃疡是因角膜创伤、疾病后,表面屏障功能被破坏,细菌入侵导致的。
治疗
对于细菌性角膜溃疡眼睛有斑块的情况,主要采取手术和药物治疗。患者可遵医嘱选择广谱的抗菌药(如头孢唑林、庆大霉素、氧氟沙星、阿奇霉素、罗红霉素)治疗,或通过细菌培养辨别感染的病原体,针对性地使用窄谱抗生素进行治疗。
对于革兰氏眼部疼痛的患者可遵医嘱服用非甾体类抗炎药,如布洛芬、吲哚美辛等。
对于发生角膜溃疡穿孔者,应考虑行结膜瓣遮盖甚至角膜移植术。对于重症前房积脓、玻璃体病变者,可行眼球摘除术。需注意,以上治疗均需在医生的指导下进行。
参考文献
[1]张会明.全科医师急症处理手册[M].北京.金盾出版社.2016.216.
[2]杨培增,范先群.眼科学.第9版[M].北京.人民卫生出版社.2018.109-112.
展开
