概述
牙龈瘤切除术是针对于牙龈瘤的手术,要求切除必须彻底,否则容易复发。
牙龈瘤切除手术的过程主要包括做切口、剥离肿瘤、缝合创面等。
手术过程
牙龈瘤切除手术需要先在黏膜上做切口,然后剥离肿瘤,最后缝合创面,具体步骤如下:
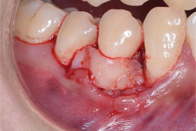
做切口:在肿瘤基底部蒂外0.2-0.3厘米的正常黏膜上做切口,切口深及骨面。

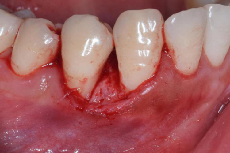
剥离肿瘤:自骨面剥离肿瘤,完整切除。常规需拔出受累牙齿,用刮匙及咬骨钳除去被波及的牙周膜、骨膜及牙槽骨,以防复发。需注意妊娠期牙龈瘤切除可不拔牙及去除牙槽骨。

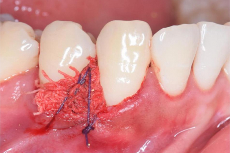
缝合创面:切除后创面可利用颊或腭(舌)侧黏膜滑行覆盖创面;若不能闭合时,可用碘仿纱条覆盖创面,缝合固定,或用牙周塞治剂覆盖创面。

注意事项
牙龈瘤切除术术前需用漱口剂含漱,进行牙周洁治;术后进食后要及时漱口,保持口腔清洁,术后5-6天拆线或拆除碘仿纱条,等待骨创面肉芽组织及上皮生长。需注意除妊娠期龈瘤外,牙龈瘤不论大小均应尽早手术切除;妊娠期龈瘤无出血,不影响进食者可观察,分娩后可能自行消退,如不消退也应手术切除。
参考文献
[1]陈长青,张吉水,刘卫卫.实用小手术图谱第2版[M].郑州.河南科学技术出版社.2021.348.
[2]日本口腔外科学会,卢利,白晓峰.口腔外科手术学第2卷[M].沈阳.辽宁科学技术出版社.2019.97.
展开
