概述
老年龋病深龋患者牙齿可出现缺损,形状不规则,可伴有明显的疼痛,可能与口腔内致龋性细菌有关,可遵医嘱给予激光去龋法治疗。
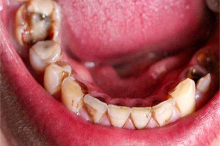
症状
老年龋病深龋的龋损进展至牙本质深层,接近牙髓,可表现为患者多个牙齿出现组织缺损,呈形状不规则的大坑样,表面呈灰黑色,部分牙冠缺失,只剩下牙根,冷、热、酸、甜刺激或食物嵌入洞内后可引起明显疼痛。

病因
老年龋病深龋最基本的病因是口腔内致龋性细菌的存在,包括变形链球菌、血链球菌、涎链球菌、乳酸杆菌等。机体对龋病的敏感性或抗龋能力,在龋病的发病过程中起着重要作用。
治疗
老年龋病深龋的治疗原则是去除坏组织,终止病变的发展,恢复牙齿的形态和功能,最大程度保持牙列和牙齿支持结构,注意保护牙髓组织。可遵医嘱使用化学方法(氟化物、磷酸钙、氯己定、臭氧治疗等)处理。除传统的涡轮手机和手动器械法外,治疗方法还包括气磨法、声波器械法、激光去龋法和化学机械法,以上治疗均需遵医嘱进行。
参考文献
[1]张玲娟.张雅丽.皮红英主编.吴欣娟主审.王春生顾问.实用老年护理全书[M].上海.上海科学技术出版社,2019.499.
[2]吴补领主编.老年口腔医学[M].西安.西安交通大学出版社,2019.149.
[3]郭云良.金丽英.刘天蔚主编.老年医学[M].北京.科学技术文献出版社,2017.387.
展开
