概述
急性坏死性溃疡性龈炎发生后,可见牙龈处黏膜糜烂,患者有疼痛感。其发生多与感染有关,需遵医嘱治疗。
症状
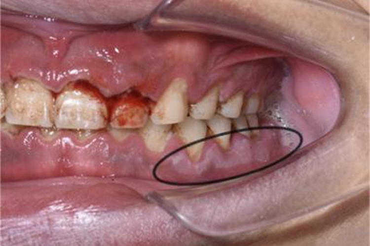
急性坏死性溃疡性龈炎发生后,检查时可见患者牙龈部位糜烂,糜烂面形状不规则,表面可有灰白色坏死物,同时还可伴有出血,患者有疼痛感。

病因
急性坏死性溃疡性龈炎是一种由多种微生物(如梭形杆菌、螺旋体等)引起的机会性感染,当宿主局部抵抗力降低时,这些微生物的毒性物质可形成组织病损,已存在的慢性龈炎或牙周炎是本病发生的重要条件。吸烟史、精神紧张、过度疲劳、营养不良、全身消耗性疾病等,易诱发本病。
治疗
对于急性坏死性溃疡性龈炎,可先轻轻去除局部坏死组织及大块龈上牙石,遵医嘱使用过氧化氢溶液擦拭、冲洗和含漱。必要时在清洁后局部涂布抗厌氧菌制剂,全身给予维生素C、蛋白质等支持疗法。
重症患者可口服甲硝唑或替硝唑,对于不良诱因要及时去除。急性期过后可采取洁治、刮治以及必要的牙周手术。
参考文献
[1]张志愿.口腔科学.第9版[M].北京.人民卫生出版社.2018.66-67.
[2]孟焕新.牙周病学.第5版[M].北京.人民卫生出版社.2020.141-144.
展开
