概述
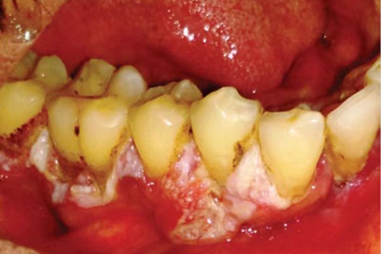
牙龈癌可导致牙龈局部出现肿块,可破溃、糜烂形成形状不规则的溃疡,大小不一。
此病的发生可能与口腔卫生不良、不良修复体等有关,可在医生指导下进行手术治疗。
症状
牙龈癌可导致牙龈局部出现异常凸起的肿块,表面可破溃、糜烂形成大小不一的溃疡,形状不规则,表面发白,并覆有一层假膜,可呈粉白色、黄白色,颜色分布不均。溃疡的深浅不一,表面可出血,也可覆有食物残渣,而呈污浊样,自觉有口腔异物感等不适。

病因
牙龈癌的发生可能与口腔卫生不良、不良修复体或义齿修复,以及饮食习惯等因素有关,这些致病因素可导致牙龈局部的上皮细胞发生基因突变,引起上皮增生,使局部出现异常凸起的肿块,进食质地较硬的食物或是牙齿咬伤等均可导致表面破溃、糜烂形成溃疡。
治疗
牙龈癌患者局部出现肿块并发生破溃形成溃疡时,需及时到医院就诊,根据肿块的大小、具体位置以及严重程度等,在医生指导下采取相应的手术治疗。另外,如果检查发现已经存在淋巴结转移,多见于颈部淋巴结,则需联合进行淋巴结清扫术,避免病灶发生进一步的转移。
同时需要对手术切除的病变组织进行病理学检查,明确疾病类型、恶性程度等,并由医生判断是否需要进行放疗、化疗以及免疫治疗等辅助治疗,以降低对患者身体健康的不良影响。
参考文献
[1]王玮.现代实用口腔医学[M].昆明.云南科技出版社.2020.285.
[2]张志愿.口腔科学.第9版[M].北京.人民卫生出版社.2018.172.
展开
