概述
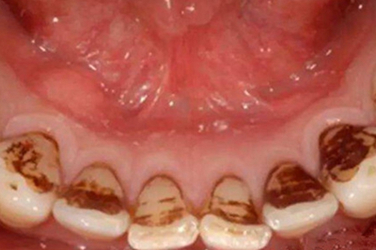
外源性色素沉着异常可见牙齿内侧有黄黑色斑块,本病的发生与口腔卫生不良有关系,可遵医嘱进行治疗。
症状
外源性色素沉着异常累及牙齿,可见患者牙齿内侧有黄黑色斑块,通过刷牙、漱口的方式不能去除。

病因
外源性色素沉着是牙齿外表着色,与口腔卫生不良有关系,外来色素首先沉着于牙面的黏液膜和菌斑中,口腔卫生不良者,菌斑滞留处,如近龈缘处、邻接面是经常着色的部位,随着菌斑下方牙面的脱矿,色素也可渗入牙体组织内,从而导致牙齿内侧出现黑斑。此外,该病的发生也与生活习惯、药物、职业性接触等因素有关。
治疗
针对外源性色素沉着牙齿内侧有黑斑的症状,患者可以前往专业的口腔医院,并在医师的操作下通过洗牙以及喷砂的方式可以去除牙结石和色素沉着。此外,若患者症状较为严重,也可在医生的建议下采取冷光美白的方式治疗,有助于去除牙齿上的色素沉着,也可以达到美白牙齿的目的。
参考文献
[1]陈谦明.口腔黏膜病学.第5版[M].北京.人民卫生出版社.2020.177.
[2]张震康,俞光岩,徐韬.实用口腔科学.第4版[M].北京.人民卫生出版社.2016.212-213.
展开
