概述
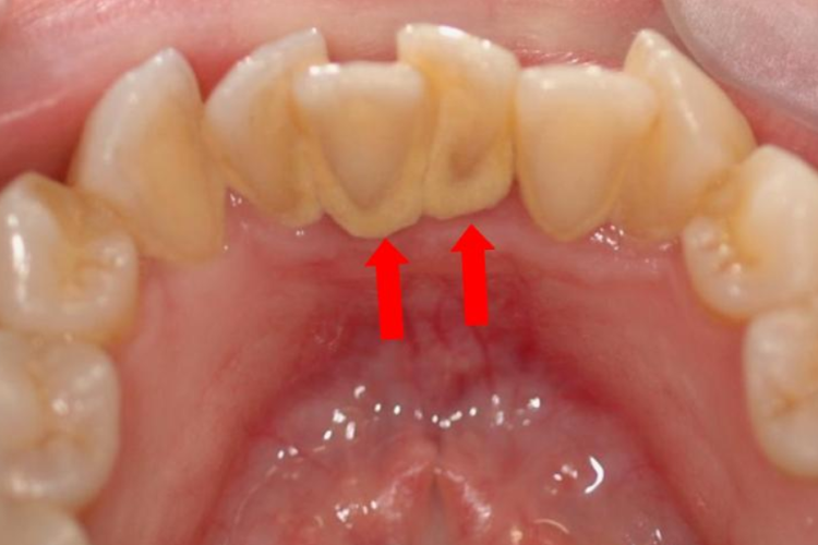
轻微牙结石表现为无软垢或少许软垢,以及少许结石,颜色较浅,呈灰黄色、黄白色。
轻微牙结石与口腔卫生、饮食习惯等因素相关,可通过洁治术处理。
症状
轻微牙结石表现为无软垢或少许软垢,以及少许结石,不超过牙面的1/3。软垢多附着在牙颈部,质地较软,易在刷牙、漱口时被去除。牙结石初期的颜色较浅,整体呈灰黄色、黄白色。

病因
牙结石是牙齿表面附着的食物残渣及唾液中的矿物质、坏死脱落的上皮细胞、白细胞等,与黏液素以及涎蛋白和脂类混合形成。饮食习惯不佳,如常吃精细食物、摄入过多糖类,以及口腔卫生习惯不良等,是诱发牙结石的重要因素。
治疗
轻微牙结石可以就诊口腔科,由专业医生采用龈上洁治法清除牙结石,清洗完毕后还需要磨光牙面。日常应注意保持良好的口腔卫生,早晚刷牙,食后漱口,配合牙线清理食物残渣等,建议少吃精细食品。
参考文献
[1]樊明文主编.中华医学百科全书2临床医学口腔医学[M].北京.中国协和医科大学出版社.2018.67.
[2]庞国明主编.实用结石病临床手册[M].北京.中国中医药出版社.2015.320.
展开
