概述
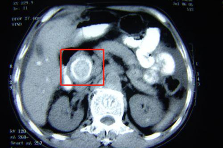
胆总管结石CT主要表现为结石部位呈“靶征”或“新月征”,可引起胆绞痛、急性胰腺炎等现象,确诊后建议遵医嘱手术治疗。
CT表现
胆总管结石上部胆管扩张,CT表现为结石部位层面,可见圆形高密度结石周围环有低密度胆汁,构成“靶征”,若部分围绕,则形成“新月征”。


处理方法
胆总管结石可导致胆绞痛、黄疸,诱发急性胰腺炎,甚至出现中毒性休克的现象,因此,确诊后建议遵医嘱及时采取手术治疗,如腹腔镜胆管手术治疗、纤维十二指肠镜下乳头切开或括约肌切开取石治疗等。
参考文献
[1]徐克,龚启勇,韩萍.医学影像学.第8版[M].北京.人民卫生出版社.2018.206.
[2]王志广.普通外科疾病临床诊疗新思维[M].长春.吉林科学技术出版社.2019.299-300.
展开
