概述
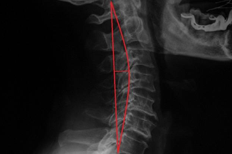
正常的颈椎共有7块,向前突出,有一定的生理曲度,椎体之间有椎间盘。
突出的颈椎表现为颈椎间盘变性、压缩、纤维环破裂及髓核脱出。
表现
正常颈椎和突出颈椎的表现有所不同,具体如下:
正常颈椎:颈椎共有7个,其主要特征是横突上有一圆孔,称为横突孔。椎体小,椎孔较大,呈三角形。颈椎上下关节突的关节面基本上呈水平位。第2-6颈椎的棘突较短,末端分叉。颈椎总体向前突出,有一定的生理曲度,正常的颈椎间隙纤维环是完整形态,髓核没有膨胀或者突出。



突出颈椎:多由颈部创伤、退行性改变等因素导致,颈椎间盘变性、压缩、纤维环破裂及髓核脱出,刺激或压迫颈椎动脉、脊神经、脊髓等,可引起头痛、眩晕、颈部酸胀等症状。


注意事项
颈椎出现突出症状时,应及时到医院就诊,在医生的指导下纠正不良的体位,伏案工作时保持颈部正直,微微地前倾,不要扭转、倾斜;若出现严重的脊髓或神经根受压症状,应遵医嘱使用非甾体类抗炎药、肌松剂等药物,或进行手术治疗。
日常工作时间超过1小时,应该休息几分钟,做些颈部运动或按摩;最佳的枕头高度应该是能支撑颈椎的生理曲线,并保持颈椎的平直;平时还要注意避免损伤,注意颈部保暖。
参考文献
[1]丁文龙,刘学政.系统解剖学.第9版[M].北京.人民卫生出版社.2018.13-14.
[2]刘英男主编.现代骨外科显微外科学[M].开封.河南大学出版社.2020.73-74.
展开
