概述
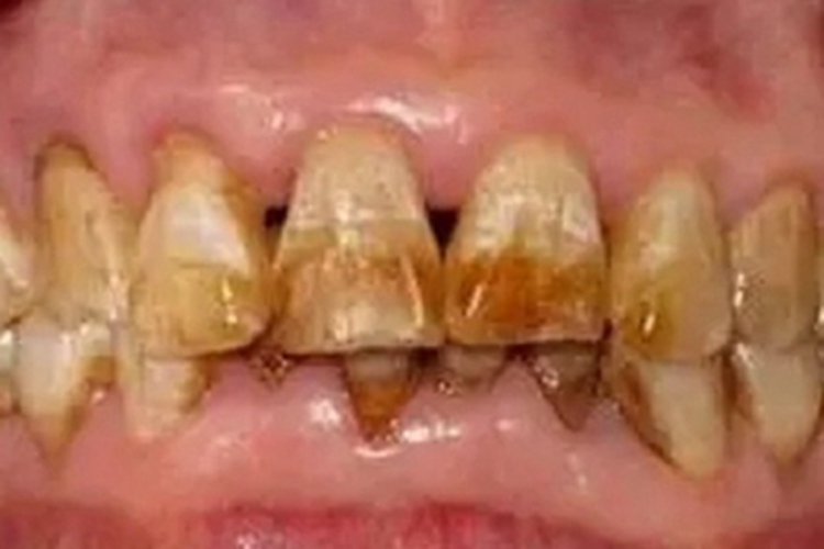
氟牙症患者门牙表面可存在有大面积褐斑,与氟化物在牙釉质中的积聚有关,可进行磨除治疗、酸蚀涂层法,漂白治疗等。
症状
氟牙症患者门牙表面可存在有大面积褐斑,主要分布在门牙,远离牙根处较严重,患者没有牙齿出血、牙齿肿痛等症状,不属于较为严重的情况。

病因
氟牙症是指氟化物在牙釉质中的积聚。氟化物在牙釉质中积聚会干扰矿化过程,使牙釉质的晶体结构异常,导致门牙牙釉质变得不均匀而出现褐色斑点。此外,氟化物还会干扰牙本质的形成,使牙本质的组织减少,进一步加剧门牙褐斑的形成。
治疗
对于氟牙症导致的门牙褐斑,治疗方法包括磨除治疗、酸蚀涂层法、漂白治疗等。磨除治疗是通过牙齿表面的轻微磨削,去除受到氟化物影响的牙釉质层,以恢复正常的牙齿颜色和外观。酸蚀涂层法是通过应用含有酸性物质的漆膜或树脂,覆盖在受损的牙釉质表面,遮盖褐斑并恢复牙齿的美观。漂白治疗使用氢氧化物或过氧化物等化学物质,可渗透到牙釉质内部,分解褐斑产生的色素,从而使牙齿变白。治疗选择应根据个体情况及牙齿状态进行综合评估,并在专业牙医的指导下进行。
参考文献
[1]刘德培.中华医学百科全书公共卫生学环境卫生学[M].北京.中国协和医科大学出版社.2017.366-368.
[2]王旭霞,杨征主编.全国普通高等医学院校五年制临床医学专业“十三五”规划教材 口腔科学[M].北京:中国医药科技出版社,2016.11.133.
展开
