概述
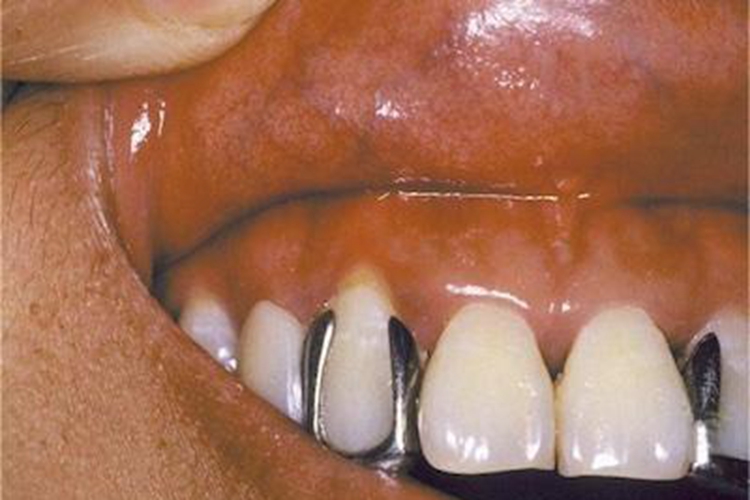
过敏性接触性口炎发生后,可见局部有红斑、水疱、溃疡等损害。本病的发生可能与局部使用药物等因素相关,应遵医嘱治疗。
症状
过敏性接触性口炎可导致多种损害,轻者黏膜肿胀发红,或形成红斑;重者发生水疱、溃疡等。病变除在接触部位外,也可向邻近部位扩展。




病因
过敏性接触性口炎除了局部使用药物这一病因外,主要为充填和修复材料引起,如银汞合金、自凝塑料等。本病的发病多为Ⅳ型变态反应。
治疗
过敏性接触性口炎患者应避免再次接触变应原。严重者可口服抗组胺类药物,如氯苯那敏、阿司咪唑等止痒、消炎。或可酌情使用糖皮质激素类制剂。也可同时口服维生素C、钙制剂,严重者需用葡萄糖溶液静脉注射。注意上述治疗均需遵医嘱进行。
参考文献
[1]张震康,俞光岩,徐韬.实用口腔科学.第4版[M].北京.人民卫生出版社.2016.201.
[2]刘洋著.口腔内科学;高级医师进阶;副主任医师/主任医师[M].北京.中国协和医科大学出版社,2018.411.
展开
