概述
正常宫颈外口呈圆形或横裂形,而宫颈癌早期宫颈可无明显病灶,或伴有阴道流血、阴道排液等症状。
症状
正常宫颈
子宫颈位于子宫下部,近似圆锥体,长2.5-3cm,上端与子宫体相连,下端深入阴道。未生育女性宫颈外口呈圆形,经阴道分娩生育过的妇女呈横裂形。

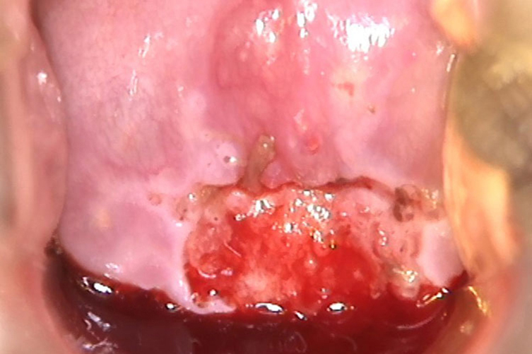
宫颈癌早期
宫颈癌早期常无明显体征,宫颈可光滑或有糜烂样改变。患者可有间歇性、无痛性阴道流血、阴道排液,或表现为性生活后及排便后少量阴道流血。随病情发展,晚期子宫颈可见息肉状、菜花状赘生物,常伴感染,质脆易出血。部分患者可表现为子宫颈肥大、质硬、子宫颈管膨大等症状。



病因
宫颈癌的发生可能与人乳头瘤病毒感染、多个性伴侣、吸烟、性生活过早(<16岁)、性传播疾病、经济状况低下、口服避孕药和免疫抑制等因素相关。
治疗
宫颈癌早期治疗应根据年龄、全身情况结合医院医技术水平及设备条件综合考虑制订治疗方案,选用适宜措施,重视首次治疗及个体化治疗。主要治疗方法为手术、放疗及化疗,应根据具体情况配合应用。病情发展时,可遵医嘱进行全身治疗,包括全身化疗和靶向治疗、免疫治疗等。
参考文献
[1]谢幸,孔北华,段涛.妇产科学.第9版[M].北京.人民卫生出版社.2018.301.
[2]谢芳编著.妇产科常见病诊疗与护理[M].昆明.云南科技出版社.2018.20.
展开
