概述
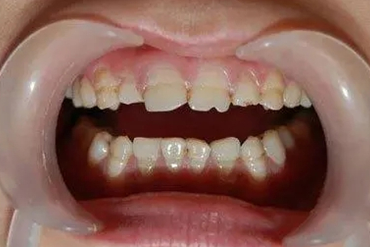
新换的恒牙有黄斑表现为牙齿上有无法擦掉的黄色斑块,可能是龋病、牙釉质发育不全、氟斑牙等因素导致,应遵医嘱进行治疗。
症状
新换的恒牙出现黄斑可能是龋病、牙釉质发育不全、氟斑牙等因素导致,其症状有一定区别,应根据情况进行具体判断。
龋病
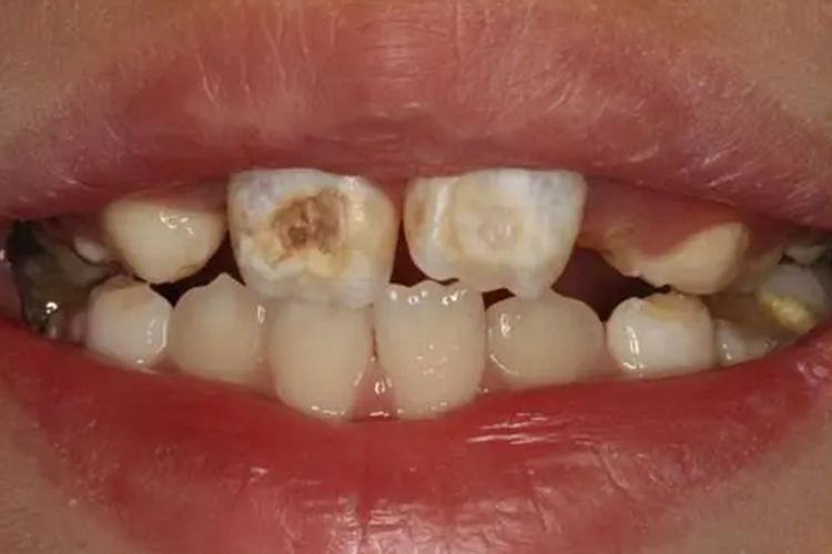
儿童龋病较轻时,会在牙齿的表面出现白色或黄褐色的斑点,肉眼可见,自觉无不适症状,触摸有轻微凹陷感,可表现为新换的恒牙出现黄斑。

牙釉质发育不全
重度牙釉质发育不全的患儿,牙面可出现带状或者窝状的棕色凹陷,像黄斑一样,受累牙可为刚长出的恒牙,呈对称性。

氟斑牙
氟斑牙牙釉质上有白垩色或褐色的斑块以及缺损,牙面失去光泽,釉面出现浅黄、黄色、黄褐色等不同程度的颜色改变,着色区域可为条纹、斑点、斑块、甚至布满整个釉面,可表现为新换的恒牙出现黄斑。

病因
新换的恒牙有黄斑可因龋病、牙釉质发育不全、氟斑牙等因素导致,具体发生机制有所不同。
龋病
新换的恒牙,牙齿的釉质层尚未完全形成,和成熟的恒牙相比,若未注意口腔卫生,刷牙不及时,易出现龋病。
牙釉质发育不全
可因全身疾病、严重营养障碍、内分泌失调、婴儿和母体疾病以及局部严重的根尖周感染,导致牙釉质形成异常,从而出现黄斑。
氟斑牙
多在高氟地区出现,因饮水等途径从环境中摄入过量的氟,导致儿童牙釉质发育不良或者矿化不全,牙釉质多孔性增加,表层牙釉质塌陷,形成牙体缺损,出现黄斑。
治疗
新换的恒牙有黄斑的治疗应根据其症状及病因进行判断。
龋病
出现轻微龋齿导致的恒牙黄斑,应注意保持口腔卫生,避免病情进展,若已形成较大的凹陷样黄斑,应尽早就医,进行牙洞去腐,若未伤及牙髓,在医生操作下用树脂填充即可。
牙釉质发育不全
牙釉质发育不全者应预防龋病发生。牙着色或者缺陷,可使用复合树脂、全瓷冠等方法进行治疗。
氟斑牙
预防氟牙症的关键是在6-7岁之前尽量避免摄入过量的氟,对于已形成的氟斑牙,可通过复合树脂修复、贴面修复及全瓷冠修复等方法治疗。
参考文献
[1]张志愿.口腔科学.第9版[M].北京.人民卫生出版社.2018.45.49.
[2]樊明文主编.中华医学百科全书2临床医学口腔医学[M].北京:中国协和医科大学出版社.2018.7.
