概述
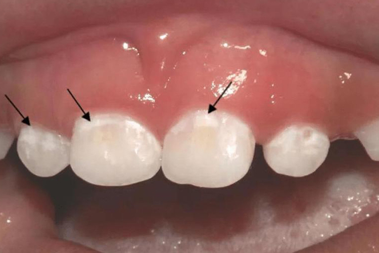
牙齿脱矿指牙釉质中的矿物质丧失。可显微镜下的外观损伤,或出现合并龋洞等表现。
牙齿脱矿多是由于不良饮食习惯等因素导致,可引起牙齿脱矿化或再矿化平衡现象。
症状
牙齿脱矿导致牙齿出现某些显微镜下外观损伤,牙齿表面颜色不均衡,出现白色斑块,牙齿出现外观损伤随后损伤将合并成为龋洞。随着牙齿脱矿加重,牙齿不能结合足量的钙,可能造成牙齿的钙质流失,牙齿变脆裂,易出现牙齿崩裂症状。


病因
牙齿脱矿主要考虑由于不良饮食习惯等因素导致口腔内可发酵糖类、致酸细菌含量较多,以及唾液流动减少,当口腔中存在大量牙菌斑和糖分时,口腔失去脱矿化和再矿化的平衡。细菌的酸性代谢产物的存在,对牙齿造成腐蚀可出现牙齿脱矿症状。
治疗
防止牙齿脱矿,主要通过机械或化学方法减少产酸牙菌斑数量、降低糖类进食频率和封闭牙釉质的方式进行治疗。
减少产酸牙菌斑数量:遵医嘱佩戴正畸装置;常规使用氯己定漱口液或牙膏,可相对减少口腔内产酸牙菌斑数量。
降低糖类进食频率:减少摄入可导致矿物质溶解的可发酵糖类,可减少对牙釉质矿物质的损伤。
封闭牙釉质:由专业医生将树脂封闭剂涂布于唇侧牙釉质的大部分表面,可相对减少牙齿矿化程度。
促进牙齿再矿化:使用专业的牙膏、漱口液、封闭剂等,可增加口腔中可利用的氟化物;促进牙釉质中的矿物质沉积,起到牙齿再矿化的效果。
参考文献
[1]张佐主编.口腔临床实践指导[M].阳光出版社,2017,93.
[2](美)李W格雷伯.口腔正畸学现代原理与技术第6版[M].江苏科学技术出版社,2018,919-920.
展开
