概述
常见的口腔上颚良性肿瘤包括多形性腺瘤、鳞状乳头状瘤等,两者病因有所差异,均可通过外科手术切除进行治疗。
症状
多形性腺瘤、鳞状乳头状瘤均为口腔上颚良性肿瘤,但是两者具体的临床表现有所不同。
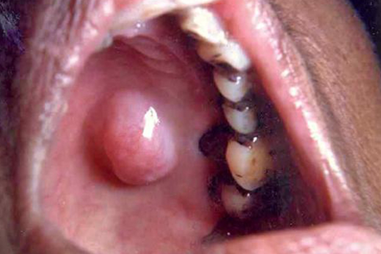
多形性腺瘤
多形性腺瘤可发生口腔上颚。肿瘤生长缓慢,常无自觉症状。肿瘤界限清楚,质地中等,扪诊呈结节状,一般可活动。当肿瘤在缓慢生长一段时期以后,突然出现生长加速,并伴有疼痛等症状时,多为恶变。

鳞状乳头状瘤
鳞状乳头状瘤可见于口腔上颚,呈质软无痛的带蒂外生性结节,表面有多个指状突起,表现出菜花状或疣状外观。根据表面角化程度不同,病变可呈白色、淡红色或无颜色改变。常单发,最大直径一般在0.5cm左右。

病因
多形性腺瘤、鳞状乳头状瘤有着各自的病因,日常生活中应注意预防,尽量避免疾病发生。
多形性腺瘤
多形性腺瘤的病因尚不明确,是最常见唾液腺上皮性肿瘤,因肿瘤具有由上皮和黏液、软骨样组织两种不同胚层组织混合构成的特点,故又称混合瘤。
鳞状乳头状瘤
口腔上颚发生鳞状乳头状瘤通常是由于口腔内发生了人乳头状瘤病毒感染所致。
治疗
多形性腺瘤、鳞状乳头状瘤在明确诊断后均可通过手术切除进行处理,但是具体治疗方式略有不同。
多形性腺瘤
多形性腺瘤可前往医院通过手术切除,不能做单纯肿瘤摘除,即剜除术,而应在肿瘤外正常腺体组织内切除。腮腺多形性腺瘤手术应保留面神经,下颌下腺多形性腺瘤常包括下颌下腺一并切除。
鳞状乳头状瘤
发生于口腔黏膜的鳞状乳头状瘤可前往医院通过手术切除,也可采用激光或冷冻治疗进行处理。
参考文献
[1]张志愿.口腔科学.第9版[M].北京.人民卫生出版社.2018.159-160.
[2]北京医师协会组织编写.口腔科诊疗常规[M].北京:中国医药科技出版社,2020.260.
展开
