概述
急性坏死性溃疡性龈炎患者牙龈充血、水肿,表面可形成溃疡,其发生是由多种微生物感染所致,需遵医嘱治疗。
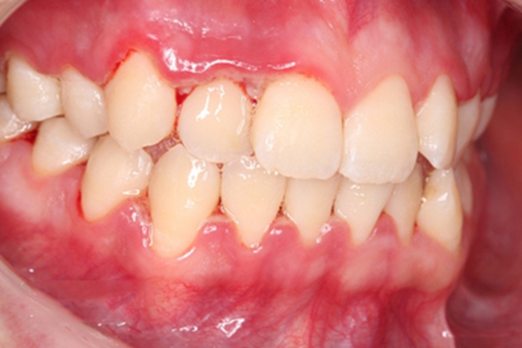
症状
急性坏死性溃疡性龈炎起病急,病程短,常为数天至1-2周,初起时牙龈肿胀、充血,个别牙龈处可发生坏死性溃疡,表面覆有灰白色坏死物,中央凹下如火山口状,可伴有出血。

病因
急性坏死性溃疡性龈炎是一种由多种微生物(如梭形杆菌、螺旋体等)引起的机会性感染,当宿主局部抵抗力降低时,这些微生物的毒性物质可形成组织病损。
已存在的慢性龈炎或牙周炎是本病发生的重要条件。吸烟史、精神紧张、过度疲劳、营养不良、全身消耗性疾病等,易诱发本病。
治疗
对于急性坏死性溃疡性龈炎,可先轻轻去除局部坏死组织,去除大块龈上牙石,使用过氧化氢溶液擦拭、冲洗和含漱。
必要时在清洁后局部涂布抗厌氧菌制剂,全身给予维生素C、蛋白质等支持疗法。重症患者可口服甲硝唑或替硝唑,对于不良诱因要及时去除。急性期过后可采取洁治、刮治以及必要的牙周手术。注意在医生指导下应用药物。
参考文献
[1]张志愿.口腔科学.第9版[M].北京.人民卫生出版社.2018.66-67.
[2]孟焕新.牙周病学.第5版[M].北京.人民卫生出版社.2020.141-144.
展开
