概述
肝囊肿CT图多显示为圆形或卵圆形,外壁与周围正常肝组织界线分明。多有遗传倾向,治疗可视其大小、性质等决定。
症状
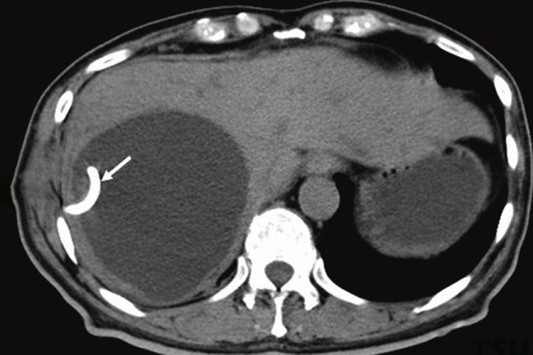
典型的肝囊肿CT图显示为圆形或卵圆形,外壁与周围正常肝组织界线分明。肝囊肿可单发或多发,有时形态不规则,伴有出血时,可出现漂浮的弥散性点状低回声,囊壁可增厚,边缘不规则。

病因
肝囊肿具有遗传性,特别是多囊肝有家族化倾向。肝囊肿也可能是在胚胎时期胆管发育异常造成。
治疗
肝囊肿的治疗应视其大小、性质及有无并发症而定。直径5cm并出现压迫症状者,可在超声引导下穿刺抽液,以缓解压迫症状。囊肿有感染时,宜行外引流术。当有并发症出现如囊肿破裂、囊蒂扭转、囊内出血或囊肿巨大,压迫邻近器官,影响进食者,需外科手术治疗。
参考文献
[1]许斌.外科学第2版[M].上海.上海科学技术出版社.2020.238.
[2]徐克,龚启勇,韩萍.医学影像学.第8版[M].北京.人民卫生出版社.2018.79.
展开
