概述
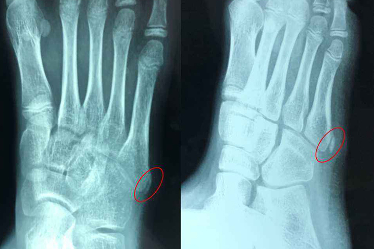
儿童第五跖骨骨骺属于短管状骨,位于远端偏外侧,内含软骨肥大细胞和基质小泡,随骺软骨不断生长,骺血管穿过,最终融合。
结构
儿童第五跖骨骨骺属于短管状骨,只有一个骨骺,位于远端偏外侧,属于牵拉骨骺,周围是钙化的软骨基质,内含软骨肥大细胞和基质小泡。
骺在胎儿及幼儿时期为软骨,骨化初期,其内出现一个或几个次级骨化中心,随骺软骨不断生长。

注意事项
儿童的骨骼正处于生长发育期,第五跖骨位于跗骨与趾骨间,处于近侧基底位置,前足外翻、内收肌腱牵拉、直接暴力使第五跖骨近端容易形成骨骺或骨折情况,运动时应注意避免剧烈活动。
参考文献
[1]滕君.青少年第五跖骨近端骨骺与骨折在数字X线摄影特点及临床意义[J].中外医疗,2018,37(32):3.
[1]刘建立,刘吉华,来洪建,等.青少年第五跖骨近端骨骺与骨折的数字X线摄影特点探讨及临床意义[J].实用医学影像杂志,2015,16(5):3.
展开
