概述
皮排即皮肤排斥反应,多见于移植物抗宿主病。最初皮肤可有疼痛或瘙痒,之后迅速出现弥漫对称性斑丘疹。
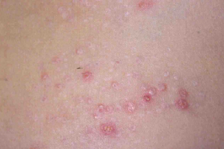
症状
皮排即皮肤排斥反应,多见于移植物抗宿主病。移植物抗宿主病可分为急性移植物抗宿主病和慢性移植物抗宿主病。
急性移植物抗宿主病
最初皮肤症状为疼痛或瘙痒,之后迅速出现弥漫对称性斑丘疹,类似麻疹样皮疹,多见于背部、颈部,也可累及掌跖、耳周及面部。少数病人皮疹,呈猩红热样改变,表现为红斑融合、剥脱以及色素沉着等。


慢性移植物抗宿主病
起初无特别明显的皮肤表现,仅表现为皮肤干燥、毛囊角化突起鱼鳞癣,丘疹鳞屑样改变类似湿疹、银屑病等。随着病情进展,可出现较为典型的扁平苔藓样、红皮病样皮疹。




原因
皮排是因免疫缺陷个体接受供体的具有免疫活性的淋巴细胞,且受体又不能将其排斥时,发生供体免疫活性淋巴细胞抗受体的反应,从而出现皮肤的症状。多见于骨髓移植、实质器官移植、母体淋巴细胞通过胎盘进入胎儿体内等情况。
治疗
对于移植物抗宿主病导致的皮肤排斥反应,应根据不同情况在医生指导下对应处理。
急性移植物抗宿主病
可给予甲基强的松龙静脉注射,或使用他克莫司、吗替麦考酚酯、抗T细胞单克隆抗体、抗白细胞介素-2受体的抗体等进行治疗。
慢性移植物抗宿主病
标准的一线治疗为,早期即给予强的松龙联合硫唑嘌呤;如果伴血小板减少,且骨髓巨核细胞减少,宜选用强的松龙联合环孢菌素A。
参考文献
[1]陈杰,周桥.病理学.第3版[M].北京.人民卫生出版社.2015.111.
[2]张建中,高兴华.皮肤性病学.第1版[M].北京.人民卫生出版社.2015.244.
展开
