概述
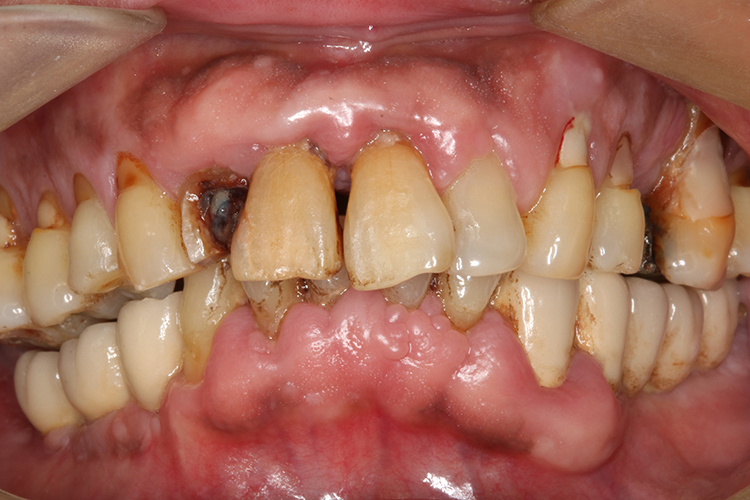
牙龈上长红色肉疙瘩可表现为牙龈出现圆形或椭圆形肿物,突出于皮肤表面,可伴有疼痛。
牙龈上长红色肉疙瘩可能与牙龈增生、根尖瘘管、牙龈瘤等疾病有关。
症状
牙龈上长红色肉疙瘩可见于牙龈增生、根尖瘘管、牙龈瘤等疾病,可伴有不同的典型特征。
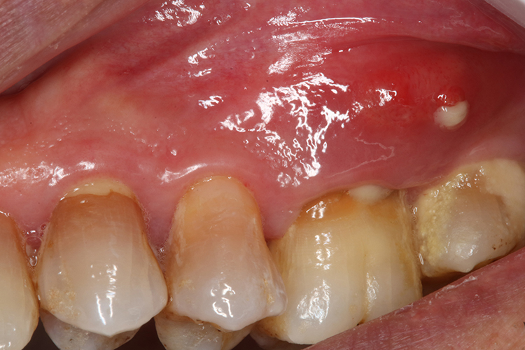
牙龈增生
牙龈增生主要表现为牙龈呈淡粉红色,质地坚韧,略有弹性,一般不易出血。无自觉症状,无疼痛。龈乳头可呈球状或结节状,牙龈表面呈桑葚状或分叶状,看起来像牙龈上长红色肉疙瘩。

根尖瘘管
根尖瘘管通常位于患牙根尖部的唇、颊侧牙龈表面的窦道口,可有自发性跳痛。若为炎症引起的根尖瘘管可波及咀嚼肌,出现不同程度的开口受限,咀嚼时疼痛加剧,口腔内有臭味,严重时可出现全身不适。

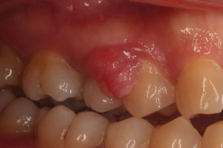
牙龈瘤
牙龈瘤多发生于牙龈乳头部。肿块较局限,呈圆形或椭圆形,有时呈分叶状。大小不一,直径由几毫米至数厘米。肿块有的有蒂,如息肉状;有的无蒂,基底宽广。一般生长较慢,但在女性妊娠期可能迅速增大,较大的肿块可以遮盖一部分牙及牙槽突,表面可见牙压痕,易被咬伤而发生溃疡、伴发感染。随着肿块的增长,可以破坏牙槽骨壁。

病因
牙龈上长红色肉疙瘩可能是由于长期服用抗癫痫药、免疫抑制剂、钙通道阻滞剂等原因导致。也可能与感染、创伤、牙源性因素、肿瘤等因素想关。另外,部分患者发病可能是与机械性刺激与慢性炎症有关。
治疗
牙龈上长红色肉疙瘩,确诊后需在医生指导下治疗。
牙龈增生:牙龈增生需及时去除局部刺激因素,通过洁治、刮治去除菌斑、牙石,消除其他一切导致菌斑滞留的因素。必要时可进行手术治疗。
根尖瘘管:根尖瘘管主要采用手术治疗,经久不愈者可搔刮或做根尖切除术治疗,牙根未完全形成之前可采用根尖诱导成形术。
牙龈瘤:牙龈瘤可在局麻下手术切除。切除必须彻底,否则易复发。一般应将病变所涉及的牙同时拔除。
参考文献
[1]张志愿.口腔科学.第9版[M].北京.人民卫生出版社.2018.58-169.
[2]张震康,俞光岩,徐韬.实用口腔科学.第4版[M].北京.人民卫生出版社.2016.164-165.
[3]姬晓林.瘘管型慢性根尖周炎103例根管治疗临床观察及分析.[J]医学美容学第29卷.2(2020).89.
