概述
脚脖子囊肿表现为脚踝处有肿块,质软或硬,同时可伴有疼痛、肿胀现象。
脚脖子囊肿可见于慢性劳损或外伤引起的腱鞘囊肿和骨囊肿,可采取药物或手术治疗。
症状
脚脖子囊肿多表现为脚踝处有肿块,考虑为腱鞘囊肿和骨囊肿的症状表现,两者具有一定差异。
腱鞘囊肿
腱鞘囊肿多出现在足背中跗关节处,表现为关节处出现一缓慢生长的圆形或椭圆形肿块,表面光滑,不与皮肤粘连,按压触感如硬橡皮样,用粗针头穿刺可抽出透明胶冻状物。肿块较小时无症状,长到一定程度后活动关节时有酸胀感。

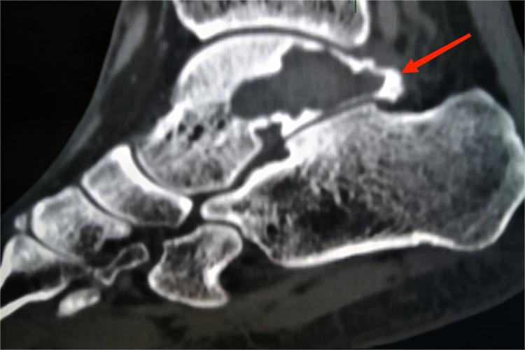
骨囊肿
骨囊肿是在骨内形成的一个充满棕黄色液体或血清性物质的囊腔,可发生于距骨等处,X线见圆形或椭圆形界限清楚的溶骨性病灶,骨皮质有不同程度的膨胀变薄。患者多数无明显症状,有时局部有隐痛或肢体局部肿胀。

病因
腱鞘囊肿是由于慢性损伤使滑膜腔内滑液增多而形成突出的囊性疝,结缔组织黏液退行性变也是发病的重要原因。骨囊肿主要由外伤导致,发病后囊肿壁呈壳样变薄,内部的组织变疏松。
治疗
腱鞘囊肿可通过挤压破裂而自愈,但复发率高。临床也可向囊内注入醋酸泼尼松龙并加压包扎,使囊腔粘连而消失。腱鞘囊肿多次复发者可手术切除,还需根据病情切除部分相连的腱鞘或修复关节囊。
骨囊肿的治疗主要为刮除病灶并用自体或异体骨移植以填充缺损,有些骨囊肿在骨折后也可以自愈。对于不足14岁的患儿或术中可能损伤骨骺且术后局部复发率高的情况应慎选手术治疗,可改用甲泼尼龙琥珀酸钠注入囊腔以恢复正常骨结构。
参考文献
[1] 陈孝平,汪建平,赵继宗.外科学.第9版[M].北京.人民卫生出版社.2018.718-719,779.
[2]韩萍,于春水.医学影像诊断学.第4版[M].北京.人民卫生出版社.2017.601-602.
展开
