概述
B超提示子宫穿孔,穿孔较大时影像表现为子宫壁和(或)内膜回声连续性中断,患者可出现剧烈腹痛、阴道出血等症状。
症状
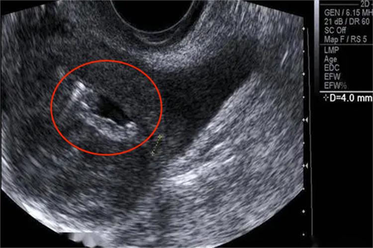
B超提示子宫穿孔时出现的身体症状及超声表现,具体如下:
身体症状:穿孔时患者多有突然出现的剧烈腹痛,少部分患者也可能没有明显感觉。子宫穿孔引起的腹痛为持续性,阴道有少量出血,如果合并有内出血,可以引起腹膜刺激征,即表现为腹痛拒按、压痛、反跳痛同时存在。
超声表现:B超检查时较小穿孔不易显示,仅在直肠子宫陷凹探及积液改变;穿孔较大时,宫体可略增大,子宫壁和(或)内膜回声连续性中断,呈低回声,并有外界气体进入形成的线状强回声穿透;出血量多时,可波及腹腔,表现为移动性无回声区,多出现在下腹两侧。

病因
子宫穿孔可发生于人工流产术时用探针探宫腔、扩张器扩张宫颈、吸管吸宫、刮匙刮宫和用卵圆钳在宫腔操作不当所致;或发生于放置或取出宫内节育器、中期引产、诊刮术等;也可发生在宫腔镜检查或宫腔镜手术时。探针、宫颈扩张器、吸管、环叉、环钩、刮匙、胎盘钳、宫腔镜或手指均可造成子宫穿孔。
治疗
子宫穿孔多是宫腔内操作不当所致,应立即停止宫腔内操作。若穿孔发生在宫内容物清除后,未涉及重要部位,症状轻可密切观察3-5日。若穿孔小,无明显内出血,但宫内仍有残留组织,可小心进行清宫,或在7-10日后再行清宫术。若穿孔大有内出血或内脏损伤、肠管损伤时,应立即行剖腹探查及肠修补或肠切除吻合术,若穿孔大而且无生育要求,也可行子宫切除术。
参考文献
[1]肖国仕;高积慧;陈露霞;孔金华;邓新春.妇科病诊疗手册[M].河南科学技术出版社.2019.413.
[2]江浩主编.急腹症影像学第2版[M].上海科学技术出版社.2017.313.
[3]李淑丽著.产科急危重症临床诊治[M],吉林科学技术出版社.2019.212.
展开
相关科普
热门推荐
