概述
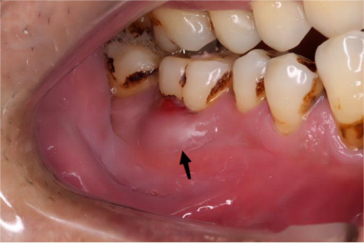
门牙上面有个小脓包指门牙上的牙龈处有肿胀突起,内含脓液,伴有疼痛不适。
门牙上面有个小脓包可能是牙周脓肿或急性化脓性根尖周炎,应及时就医治疗。
症状
门牙上面有个小脓包可见于牙周脓肿或急性化脓性根尖周炎,具体症状如下:
牙周脓肿
牙周脓肿可在患者门牙上面的牙龈处形成椭圆形或半球状的肿胀突起,牙龈发红,水肿,表面光亮。脓肿早期局部可有搏动性疼痛,患牙有“浮起感”,后期脓肿变软,疼痛稍减轻,此时轻压牙龈可有脓液自袋内溢出或脓肿自行从表面破溃。

急性化脓性根尖周炎
急性化脓性根尖周炎患者病情进展至黏膜下脓肿期时,在门牙上的根尖区牙龈黏膜出现局限的肿胀,呈半球形隆起,触摸有明显波动感,脓肿较表浅而易破溃。此时牙龈内的压力紧绷感、自发性胀痛和咬合痛都不再剧烈,但仍感觉患牙轻微松动。

病因
牙周脓肿或急性化脓性根尖周炎都可导致门牙上的牙龈处长小脓包,但致病原因不同,具体分析如下:
牙周脓肿
牙周脓肿是牙周炎发展到晚期出现的伴发症状,牙龈出现化脓性炎症而脓液不能排出时,即形成脓包。牙齿遭受创伤或有异物嵌入以及牙髓治疗时根管伤害牙龈、牙根纵裂等因素都可以导致牙周脓肿,患者机体抵抗力下降或有严重的全身疾患(如未控制的糖尿病),也易发生牙周脓肿。
急性化脓性根尖周炎
急性化脓性根尖周炎多是由牙根尖处发炎转化而来,根尖周组织的炎症持续发展就会发生化脓性变化,局部坏死液化形成脓液,牙周韧带也遭到破坏。若脓液得不到通畅的引流,便可积聚在根尖附近形成脓包。
治疗
对于牙周脓肿或急性化脓性根尖周炎需要不同的治法,具体内容如下:
牙周脓肿
对于牙龈上出现的脓包可由医生对脓液进行排脓引流,之后还需彻底冲洗脓腔,或在局麻下行龈下清创术,必要时使用抗生素。需做好口腔内的卫生,清除大块的牙石。
急性化脓性根尖周炎
牙根尖周病的治疗首先应排脓、去除感染物,并缓解疼痛和急性症状,随后再进行全面检查和治疗。治法有根管治疗,或去除病变的牙髓组织但保存患牙,并配合不同类型的冠部修复体,当患牙无保留价值时应拔除。
参考文献
[1]孟焕新.牙周病学.第5版[M].北京.人民卫生出版社.2020.173-175.
[2]周学东.牙体牙髓病学.第5版[M].北京.人民卫生出版社.2020.180-182,187.
