概述
前庭囊肿可能是指前庭大腺囊肿,也可能是指鼻前庭囊肿,两者的病因、症状以及治疗方式均不同。
症状
前庭大腺囊肿发生于女性外阴,而鼻前庭囊肿发生于鼻腔内,两者具体症状不同。
前庭大腺囊肿
前庭大腺囊肿多为单侧,也可为双侧。若囊肿小且无急性感染,患者一般无自觉症状,往往于妇科检查时方被发现;若囊肿大,可感到外阴坠胀或性交不适。检查见患侧阴道前庭窝外侧肿大,在外阴部后下方可触及无痛性囊性肿物,多呈圆形,边界清楚。


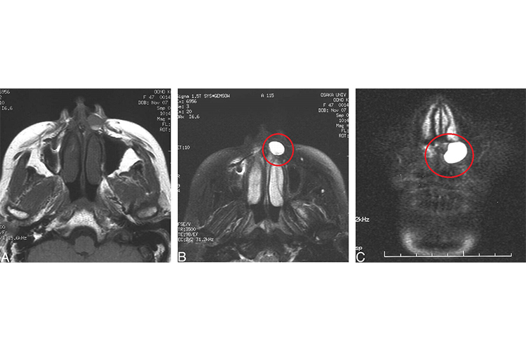
鼻前庭囊肿
囊肿发展缓慢,常单侧发病。早期囊肿小的时候无任何自觉症状。囊肿长大后,使一侧鼻前庭和鼻翼附着处隆起,伴鼻前庭部及上唇胀痛感,咀嚼时明显。囊肿较大阻塞鼻前庭时,可有同侧鼻塞。一些患者可有上颌部或额部反射性疼痛。若囊肿发生感染,可迅速增大,局部疼痛加重。



病因
前庭大腺囊肿和鼻前庭囊肿有着各自的发病原因,具体原因如下:
前庭大腺囊肿
前庭大腺囊肿是由病原体侵入前庭大腺所致,主要病原体为葡萄球菌、大肠埃希菌、链球菌、肠球菌。随着性传播疾病发病率的升高,淋病奈瑟菌及沙眼衣原体也成为常见病原体。
鼻前庭囊肿
鼻前庭囊肿可能是各种原因导致鼻前庭底部黏膜黏液腺的腺管阻塞,腺体分泌物潴留并逐渐增多形成;也有可能是先天性异常,胚胎发育期面部上颌突、球状突和鼻外侧突连接处有残留或迷走的上皮组织发展成囊肿。
治疗
前庭大腺囊肿和鼻前庭囊肿明确诊断后,均需要在医生指导下积极进行治疗。
前庭大腺囊肿
无症状的前庭大腺囊肿可随访观察;症状轻微时可选择喹诺酮或头孢菌素与甲硝唑联合抗感染;对囊肿较大或反复发作者可行囊肿造口术。
鼻前庭囊肿
鼻前庭囊肿需要前往医院进行手术切除。可经鼻内镜于鼻底部行囊顶壁切除,使囊壁开口于鼻腔底部,即囊肿揭盖手术,要防止开窗口闭合导致复发。传统手术取唇龈沟横切口进路,剥离囊肿,以彻底切除囊肿壁为原则。
参考文献
[1]谢幸,孔北华,段涛.妇产科学.第9版[M].北京.人民卫生出版社.2018.239-240.
[2]孙虹,张罗.耳鼻咽喉头颈外科学.第9版[M].北京.人民卫生出版社.2018.241.
