概述
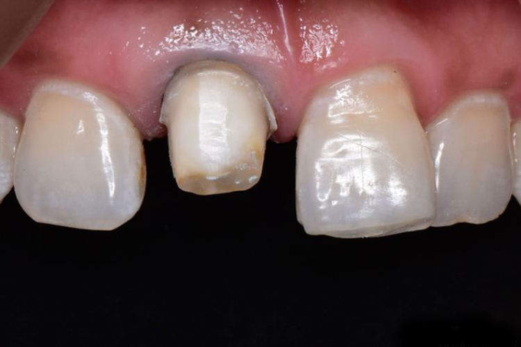
戴牙冠指的是牙冠修复技术,包括牙体预备、取模、灌模、铸造、打磨、试戴等,牙体预备时需将原牙进行打磨,打磨厚度至少为1.0mm。
过程
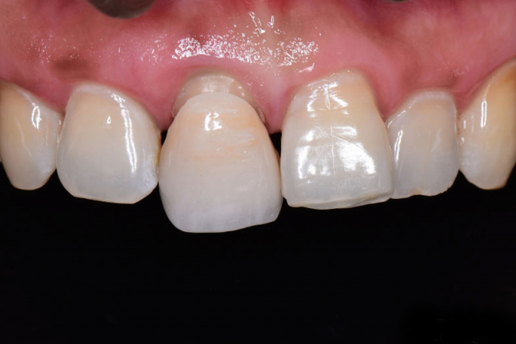
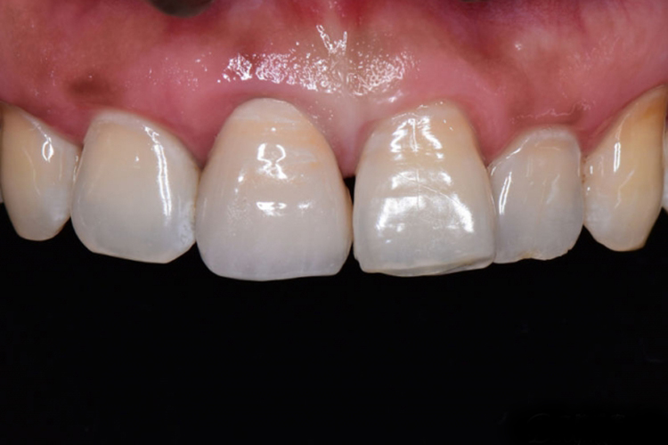
戴牙冠指的是牙冠修复技术,临床上制作牙冠修复体需要进行牙体预备、取模并制作、打磨抛光,最后试戴、黏固。为了保证最终修复体的效果,颊侧区域牙体磨除量或修复体的厚度最少为1.0-1.5mm,前牙舌侧上方区域在修复体舌侧的厚度至少1.0mm,后牙修复体厚度约2.0mm。牙体预备完成后可用硅橡胶进行取型并进行后续的灌模制作过程,牙冠制作完成后需进行牙冠试戴,若无异常可将牙冠粘接在预修复的牙体上。



适应证
牙冠修复适用于有牙体缺损需修复但又非嵌体情况;患牙有某一牙面是完整的(唇颊面),且保留该面不用并不会使修复体的固位与抗力不足时可进行牙冠修复;牙各部位的各个径均较大(尤其唇舌径),龋患率较低时,均可通过牙冠修复技术进行修复。
参考文献
[1]张江云主编.口腔疾病诊疗技术常规[M].长春:吉林科学技术出版社, 2019.08.69.
[2]陈乃焰编著.实用牙髓病诊疗学 第3版[M].北京/西安:世界图书出版公司,2017.10.368.
展开
